TL;DR – martwy ząb (ząb nieżywy): jak go rozpoznać i co robić
- Najważniejsze: brak bólu nie oznacza, że ząb jest zdrowy — często oznacza, że miazga obumarła.
- Konkret + liczba: martwy ząb potrafi nie dawać objawów miesiącami, a stan zapalny rozwija się „po cichu”.
- Dla kogo: dla osób po epizodzie silnego bólu, urazie zęba lub z głęboką próchnicą.
- Efekt po wdrożeniu: szybciej rozpoznasz ryzyko, unikniesz ropnia/torbieli i podejmiesz leczenie, zanim zrobi się ostro.
- Aktualizacja: 26.01.2026. Zacznij teraz.
Martwy ząb – czy wiesz, jak go rozpoznać? Ząb, który nagle przestaje boleć, często daje pacjentowi złudne poczucie ulgi. „Skoro nie boli, to chyba nic złego się nie dzieje?” – to jedno z najczęstszych błędnych przekonań, które prowadzi do bagatelizowania problemu. Niestety brak bólu nie oznacza, że ząb jest zdrowy. Wręcz przeciwnie – bardzo często świadczy o tym, że miazga wewnątrz zęba obumarła.
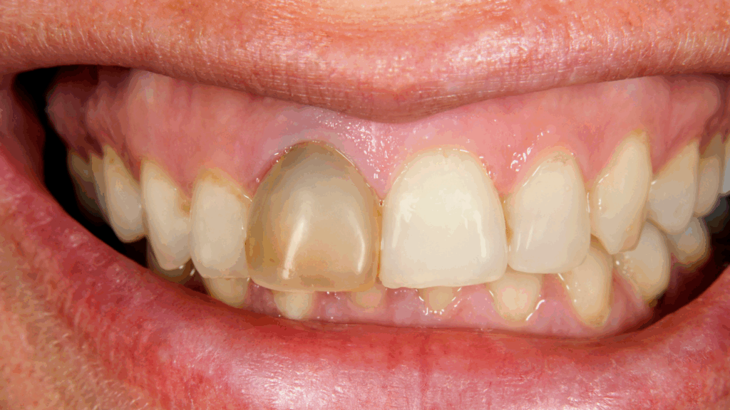
Martwy ząb to nie tylko problem estetyczny, widoczny np. jako szare lub ciemniejsze przebarwienie w łuku zębowym. To przede wszystkim zagrożenie dla zdrowia jamy ustnej i całego organizmu, ponieważ w martwych tkankach mogą rozwijać się bakterie odpowiedzialne za stany zapalne, torbiele, a nawet groźne powikłania ogólnoustrojowe.
W tym artykule wyjaśnimy, czym tak naprawdę jest martwy ząb, jakie daje objawy (a także dlaczego czasem nie daje żadnych!), czy zawsze wymaga leczenia i co może się wydarzyć, jeśli pozostawimy go bez opieki stomatologa. To wiedza, która pomoże Ci lepiej zrozumieć, że brak bólu nie zawsze jest oznaką zdrowia.
Co znajdziesz w tym artykule? (5 konkretów)
- Jak rozpoznać martwy ząb – po jakich objawach (i „braku objawów”) możesz podejrzewać, że miazga obumarła.
- Najczęstsze przyczyny obumarcia zęba – od głębokiej próchnicy, przez urazy, aż po przeciążenia zgryzowe.
- Dlaczego martwy ząb bywa groźny mimo braku bólu – co może się dziać w kości i tkankach wokół korzenia „po cichu”.
- Możliwe konsekwencje nieleczenia – ropień, przetoka, torbiel oraz sytuacje, w których trzeba reagować natychmiast.
- Jak wygląda leczenie i co wybrać – leczenie kanałowe krok po kroku, kiedy warto ratować ząb, a kiedy ekstrakcja i odbudowa mają sens.
Czym jest martwy ząb i skąd wiadomo, że obumarł?
Ząb, wbrew temu, co mogłoby się wydawać, to nie tylko twarda struktura. Wewnątrz każdego zdrowego zęba znajduje się tzw. miazga zęba – tkanka miękka, bogato unaczyniona i unerwiona, odpowiedzialna m.in. za odżywianie zęba, reakcje na temperaturę, nacisk oraz urazy. To właśnie dzięki niej czujemy zimno, ból czy dotyk. Gdy miazga ulegnie uszkodzeniu i przestaje być żywa, mówimy o martwym zębie, a fachowo – o zębie nieżywym lub obumarłym.
Co to znaczy, że ząb jest martwy?
Martwy ząb to taki, w którym doszło do obumarcia miazgi, a więc nerw i naczynia krwionośne znajdujące się w kanale zęba przestały funkcjonować. Proces ten może zachodzić powoli, bezobjawowo, albo gwałtownie – w wyniku nagłego urazu lub głębokiej próchnicy. W obu przypadkach ząb traci swoje naturalne „życie”, a wraz z nim – zdolność do odczuwania bodźców.
Mimo że ząb obumarł, jego korzeń nadal pozostaje w kości szczęki, i jeśli nie zostanie odpowiednio oczyszczony i zabezpieczony, może stać się źródłem infekcji.
Jakie są objawy martwego zęba?
Wbrew pozorom, ząb nie musi boleć, by był martwy. Bardzo często pacjenci są zaskoczeni, gdy stomatolog informuje ich o obumarciu zęba – bo wcześniej nie odczuwali żadnych dolegliwości. Istnieją jednak pewne sygnały, które mogą wskazywać na problem:
- zmiana koloru zęba – ząb staje się ciemniejszy, szary, brunatny lub żółtawy, szczególnie przy przednich zębach;
- reakcja bólowa – kiedyś silna, teraz zanikająca – ból mógł być silny, pulsujący, a następnie nagle ustał – to klasyczny objaw obumarcia miazgi;
- brak reakcji na zimno, ciepło i opukiwanie – martwy ząb „nie czuje”, ponieważ nerw przestał funkcjonować;
- nieprzyjemny zapach z ust lub posmak – wskazujący na obecność rozkładającej się martwej tkanki lub zakażenie;
- obrzęk lub przetoka na dziąśle – świadczące o stanie zapalnym w okolicy korzenia zęba;
- uczucie „innego” zęba – wrażenie lekkiego wysunięcia, dyskomfortu przy nacisku.
Jak dentysta diagnozuje martwy ząb?
Podczas wizyty stomatolog może wykonać kilka badań:
- testy żywotności miazgi – najczęściej przy użyciu zimna (np. ciekłego azotu) lub prądu; brak reakcji sugeruje obumarcie,
- badanie opukowe – sprawdzające bolesność tkanek wokół zęba,
- zdjęcie RTG – pozwala ocenić stan korzenia i otaczającej go kości; martwy ząb często ma widoczne zmiany okołowierzchołkowe (np. zacienienia sugerujące stan zapalny),
- badanie barwy i struktury zęba – wizualna ocena zmian koloru lub pęknięć.
Warto pamiętać, że tylko dentysta może jednoznacznie stwierdzić, czy ząb jest martwy, dlatego nie należy opierać się wyłącznie na braku bólu.
Czy martwy ząb może dalej wyglądać normalnie?
Tak, i to właśnie sprawia, że problem często pozostaje niezauważony. Martwy ząb może przez długi czas wyglądać całkiem „zdrowo”, a pacjent nie odczuwa żadnych dolegliwości – aż do momentu, gdy dojdzie do zakażenia, ropnia, obrzęku lub bólu nie do wytrzymania. Właśnie dlatego martwy ząb wymaga leczenia – nawet jeśli nie boli.
Objawy martwego zęba – co mogą oznaczać
| Objaw | Co to najczęściej oznacza? | Co zrobić praktycznie? |
|---|---|---|
| Ząb ciemnieje (szary, brunatny, siny) | obumarcie miazgi po urazie / przebarwienia wewnętrzne | umów wizytę + RTG; nie czekaj „aż przejdzie” |
| Ból był silny i nagle ustał | możliwe obumarcie miazgi („cisza” po martwicy) | diagnostyka w gabinecie — testy + zdjęcie |
| Brak reakcji na zimno/ciepło | nerw może nie funkcjonować | potwierdzenie testami żywotności |
| Ból przy nagryzaniu / uczucie „wysunięcia” | stan zapalny tkanek wokół korzenia | pilna wizyta, zwłaszcza jeśli narasta |
| Przetoka na dziąśle (krostka, sączenie) | przewlekły ropień, „ujście” zakażenia | leczenie przyczyny (kanałowe / chirurgiczne) |
| Nieprzyjemny zapach/posmak | rozkład tkanek, infekcja w kanałach | szybka kontrola, ocena kanałów i RTG |
Najczęstsze przyczyny obumarcia zęba
Ząb nie umiera „bez powodu”. Obumarcie miazgi to proces, który zwykle rozwija się w wyniku długotrwałego działania niekorzystnych czynników – choć czasem może być nagłe i zaskakujące. Zrozumienie, co prowadzi do śmierci zęba, pozwala nie tylko zapobiegać poważnym konsekwencjom, ale również lepiej ocenić ryzyko u siebie i bliskich. Oto najczęstsze przyczyny martwicy miazgi.

1. Głęboka próchnica – najczęstszy winowajca
Próchnica to proces bakteryjny, który niszczy twarde tkanki zęba. Jeśli nie zostanie odpowiednio wcześnie zatrzymana i leczona, może:
- przeniknąć do wnętrza zęba,
- zaatakować miazgę,
- wywołać stan zapalny,
- a w końcu – doprowadzić do jej obumarcia.
Ból przy głębokiej próchnicy często zaczyna się jako przerywany i pojawia się przy zimnie, cieple lub słodyczach. Gdy miazga umiera – ból może nagle zniknąć, co pacjent często odbiera jako poprawę, a w rzeczywistości jest to moment obumarcia zęba.
2. Uraz mechaniczny – cichy zabójca zębów
Silne uderzenie w ząb – np. podczas wypadku, bójki, upadku z roweru, gry w piłkę – może uszkodzić naczynia krwionośne wewnątrz zęba. Miazga zostaje „odcięta” od ukrwienia i zaczyna obumierać. Co ważne:
- uraz nie zawsze oznacza złamany ząb – może wyglądać normalnie,
- proces obumierania może potrwać kilka tygodni lub miesięcy,
- często pierwszym widocznym objawem jest ściemnienie zęba.
Dlatego każdy uraz zęba – nawet jeśli „nic się nie stało” – warto skonsultować ze stomatologiem.
3. Nieprawidłowe leczenie protetyczne lub ortodontyczne
Źle dopasowane korony, mosty, zbyt głębokie wypełnienia lub nieodpowiednie siły działające przy przesuwaniu zębów (np. w trakcie leczenia aparatem) mogą:
- uciskać miazgę,
- wywoływać przewlekły stan zapalny,
- doprowadzić do stopniowego jej obumarcia.
Zęby leczone kilka razy na przestrzeni lat, zwłaszcza jeśli zawierają stare plomby amalgamatowe lub były narażone na przegrzewanie przy opracowywaniu, są szczególnie zagrożone.
4. Nagła zmiana ciśnienia lub temperatury
Rzadszą, ale możliwą przyczyną martwicy zęba jest:
- narażenie na bardzo wysoką lub niską temperaturę (np. przy zabiegach stomatologicznych wykonywanych bez odpowiedniego chłodzenia),
- ekstremalne zmiany ciśnienia – np. u nurków, pilotów lub osób uprawiających sporty ekstremalne.
Choć to sytuacje nietypowe, mogą one prowadzić do uszkodzenia naczyń miazgi.
5. Zatrzymanie krążenia wewnątrz zęba (niedokrwienie miazgi)
Zdarza się, że miazga „umiera” bez wyraźnego powodu – np. wskutek mikrouszkodzeń, starzenia się tkanek, przewlekłego przeciążenia zgryzu lub zaburzeń naczyniowych. Dotyczy to częściej osób dorosłych i starszych, ale nie jest wykluczone również u młodszych pacjentów.
Najczęstsze przyczyny obumarcia zęba (i kiedy ryzyko rośnie)
| Przyczyna | Jak do tego dochodzi? | Kto jest w grupie ryzyka? |
|---|---|---|
| Głęboka próchnica | bakterie dochodzą do miazgi → zapalenie → martwica | osoby z nieleczoną próchnicą, „odkładanie wizyt” |
| Uraz (uderzenie/upadek) | uszkodzenie naczyń → niedokrwienie miazgi | sport, dzieci, urazy sprzed tygodni/miesięcy |
| Przeciążenia zgryzowe/bruksizm | mikrourazy i przewlekłe drażnienie miazgi | zgrzytanie zębami, napięcie stresowe |
| Powikłania po leczeniu (rzadziej) | podrażnienie/stan zapalny miazgi | zęby „wielokrotnie plombowane”, duże ubytki |
Czy martwy ząb zawsze boli? Fakty i mity
Jedno z największych nieporozumień związanych z martwym zębem brzmi:
„Skoro mnie nie boli, to chyba wszystko jest w porządku.”
Niestety, to bardzo niebezpieczne założenie. Brak bólu nie oznacza zdrowia. Wręcz przeciwnie – zęby mogą być martwe i zakażone, nie dając przez długi czas żadnych dolegliwości. A im dłużej trwa taki stan, tym większe ryzyko groźnych powikłań.

Dlaczego martwy ząb nie zawsze boli?
Ból zęba powstaje wtedy, gdy żywa miazga (czyli nerw wewnątrz zęba) reaguje na bodźce: zimno, ciepło, nacisk lub infekcję. Gdy miazga obumiera:
- nerw przestaje przewodzić bodźce,
- ząb „milknie” – nie reaguje ani na temperaturę, ani na dotyk,
- może się wydawać „uleczony” – szczególnie jeśli wcześniej bolał.
To zjawisko często sprawia, że pacjent odkłada leczenie, bo pozornie „nie ma potrzeby” – i trafia do dentysty dopiero wtedy, gdy pojawia się opuchlizna, ropień, silny ból lub zmiany na RTG.
Ból może ustąpić, ale proces chorobowy trwa nadal
Wnętrze martwego zęba to idealne środowisko dla bakterii beztlenowych. Rozkładająca się martwa miazga staje się pożywką dla drobnoustrojów, które:
- przemieszczają się w kierunku korzenia,
- mogą przedostawać się do kości,
- powodują stany zapalne tkanek okołowierzchołkowych.
Z czasem mogą rozwinąć się zmiany, takie jak:
- torbiele korzeniowe,
- przewlekłe stany zapalne,
- ropnie i przetoki,
- a nawet infekcje rozprzestrzeniające się na inne części ciała.
To wszystko może dziać się bez bólu, ale nie bez szkody dla zdrowia.
Kiedy martwy ząb zaczyna boleć?
Ból pojawia się zazwyczaj wtedy, gdy:
- infekcja przechodzi poza korzeń zęba, do kości lub dziąsła,
- dochodzi do powstania ropnia,
- rozwija się stan ostry – z obrzękiem, gorączką, pulsowaniem, bólem przy nagryzaniu,
- zostaje zaatakowana odporność organizmu, np. po osłabieniu, chorobie lub stresie.
W takich sytuacjach leczenie staje się pilne – a nierzadko bolesne i kosztowne. Tymczasem wczesne leczenie martwego zęba, jeszcze bezobjawowego, jest szybsze, tańsze i skuteczniejsze.
„Ząb się nie odzywa” – ale to nie znaczy, że jest obojętny
Martwy ząb może:
- nie boleć,
- nie dawać żadnych objawów,
- wyglądać z zewnątrz zupełnie normalnie.
Ale jednocześnie może być przyczyną przewlekłego stanu zapalnego, który osłabia organizm, układ odpornościowy, powoduje bóle głowy, zmęczenie, infekcje zatok czy powikłania ogólnoustrojowe.
Dlatego nie warto czekać na ból jako sygnał alarmowy – martwy ząb powinien zostać zdiagnozowany i wyleczony, nawet jeśli „milczy”.
Dlaczego martwy ząb to tykająca bomba – nawet jeśli nie boli?
Ząb, który przestał boleć, może wydawać się „martwym tematem” – dosłownie i w przenośni. Niestety, właśnie to pozorne uspokojenie często prowadzi do poważnych zaniedbań, które kończą się ostrym stanem zapalnym, utratą zęba, a nawet zagrożeniem dla ogólnego zdrowia. Martwy ząb to nie tylko problem stomatologiczny – to cichy ogniskowy stan zapalny, który może oddziaływać na cały organizm.

1. Martwa miazga = idealne środowisko dla bakterii
Obumarła miazga staje się doskonałym miejscem dla bakterii beztlenowych. Zagnieżdżają się one w systemie kanałów korzeniowych, rozmnażają i powoli migrują do tkanek otaczających ząb – kości, dziąseł, zatok, a czasem nawet do krwiobiegu. To może prowadzić do:
- przewlekłych zapaleń w okolicy korzenia,
- niszczenia kości wyrostka zębodołowego,
- tworzenia się torbieli i ropni.
2. Przewlekłe zapalenie – „cichy stan zapalny”
Ząb nie boli, ale w jego okolicy może się tlić zapalenie – organizm próbuje je neutralizować, ale kosztem odporności. Taki stan może trwać miesiącami lub latami, prowadząc do:
- bólu głowy o nieznanej przyczynie,
- spadku odporności,
- uczucia przewlekłego zmęczenia,
- infekcji zatok,
- reakcji alergicznych,
- problemów z sercem, nerkami czy stawami (ogniska zapalne!).
Nie bez powodu martwy ząb nazywa się czasem „bomą biologiczną” – wygląda na niegroźny, ale może być powodem poważnych problemów ogólnoustrojowych.
3. Nagłe zaostrzenie – od „nic się nie dzieje” do ropnia
Brak leczenia martwego zęba może w każdej chwili doprowadzić do ostrego stanu zapalnego. Objawia się on:
- silnym bólem, pulsowaniem,
- opuchlizną twarzy lub dziąsła,
- gorączką i złym samopoczuciem,
- obecnością ropy lub przetoki (małego otworu z sączącą się wydzieliną).
W takiej sytuacji konieczna jest natychmiastowa interwencja – a czasem nawet leczenie antybiotykami, nacięcie ropnia lub ekstrakcja zęba.
4. Estetyczne i funkcjonalne konsekwencje
Martwy ząb z czasem:
- ściemnieje – stanie się szary, brunatny lub siny,
- osłabnie mechanicznie – wzrasta ryzyko jego złamania,
- utraci swoją funkcję – może być bolesny przy nagryzaniu lub nie uczestniczyć w prawidłowym żuciu.
Brak leczenia może więc skończyć się koniecznością usunięcia zęba i kosztownego leczenia protetycznego.
Ropień, torbiel, stan zapalny – groźne konsekwencje zlekceważenia martwego zęba
Martwy ząb, pozostawiony bez leczenia, może wydawać się nieszkodliwy, zwłaszcza jeśli nie boli. Niestety, to tylko cisza przed burzą. Obumarła miazga z czasem staje się ogniskiem zakażenia – a konsekwencje takiego przewlekłego stanu zapalnego potrafią być bardzo poważne. Oto, co może się wydarzyć, jeśli martwy ząb nie zostanie w porę zdiagnozowany i leczony.
1. Ropień okołowierzchołkowy – nagła i bolesna reakcja organizmu
Ropień to zbiornik ropy powstający w wyniku infekcji bakteryjnej w tkankach wokół korzenia zęba. Może wystąpić nagle, nawet po wielu miesiącach „ciszy”. Objawia się:
- silnym, pulsującym bólem,
- opuchlizną dziąsła, policzka lub wargi,
- gorączką i ogólnym osłabieniem,
- trudnością w przełykaniu lub otwieraniu ust,
- powiększeniem węzłów chłonnych.
To stan ostry i niebezpieczny, który wymaga natychmiastowej interwencji – leczenia kanałowego lub ekstrakcji oraz często antybiotykoterapii.
2. Przetoka – niepozorny otwór, który mówi o stanie zapalnym
Gdy organizm nie może sam poradzić sobie z ropniem, może wytworzyć przetokę ropną – mały otwór w dziąśle, przez który ropa sączy się na zewnątrz. Choć może wyglądać niegroźnie i czasem nawet nie boli, świadczy o przewlekłym stanie zapalnym w kości i korzeniu zęba. To nie jest rozwiązanie, tylko „zawór bezpieczeństwa” – który nie zastępuje leczenia.
3. Torbiel zębopochodna – powolna, ale niebezpieczna zmiana
Wokół martwego zęba może powstać torbiel, czyli zamknięta przestrzeń wypełniona płynem lub ropą. Rozwija się powoli, często przez wiele miesięcy lub lat, bez objawów. Z czasem:
- może niszczyć okoliczną kość,
- wypychać sąsiednie zęby,
- powodować obrzęk i deformację twarzy,
- utrudniać leczenie protetyczne lub ortodontyczne.
W przypadku dużych torbieli konieczna jest ich chirurgiczna resekcja lub usunięcie całego zęba.
4. Zakażenia ogólnoustrojowe i choroby odogniskowe
Przewlekły stan zapalny wokół martwego zęba może wpływać na cały organizm. Bakterie i ich toksyny mogą rozprzestrzeniać się przez krew i prowadzić do:
- nawracających infekcji zatok, uszu, gardła,
- problemów skórnych i alergicznych,
- zapalenia nerek, stawów, mięśnia sercowego,
- powikłań w chorobach przewlekłych (np. cukrzycy, chorobach autoimmunologicznych),
- ogólnego spadku odporności i przewlekłego zmęczenia.
Takie zmiany nazywa się chorobami ogniskowymi (ogniskami zakażenia), a martwe zęby są jednym z najczęstszych ich źródeł.
Czytaj więcej o ropniu zęba: https://lublinstomatolog.pl/blog/chirurgia-stomatologiczna/ropien-zeba-czym-jest-i-jak-wyglada-leczenie/
Czytaj więcej: https://lublinstomatolog.pl/blog/chirurgia-stomatologiczna/ropien-w-jamie-ustnej-jak-postepowac-w-przypadku-jego-diagnozy/
Jak wygląda leczenie martwego zęba? Etapy, możliwości i czego się spodziewać
Leczenie martwego zęba to nie tylko „zrobienie kanału” – to proces medyczny o wielu etapach, którego celem jest uratowanie zęba i przywrócenie pełnej funkcji bez ryzyka dla zdrowia ogólnego. Choć wielu pacjentów kojarzy leczenie kanałowe z czymś nieprzyjemnym, nowoczesna stomatologia sprawia, że jest ono dziś precyzyjne, bezpieczne i w większości przypadków bezbolesne.
Poniżej opisujemy dokładnie, jak wygląda leczenie martwego zęba i co warto wiedzieć przed wizytą w gabinecie.
1. Diagnoza – podstawa każdego skutecznego leczenia
Pierwszym krokiem zawsze jest dokładne zbadanie zęba i jego otoczenia. Stomatolog przeprowadza:
- wywiad medyczny – czy ząb kiedyś bolał, był leczony, był po urazie?
- badania żywotności zęba – najczęściej przy użyciu zimna (test z chlorkiem etylu) lub prądu,
- badanie opukowe – sprawdza reakcję tkanek okołowierzchołkowych,
- zdjęcie rentgenowskie (RTG) – ocenia stan korzeni, kości i ewentualne zmiany zapalne.
W przypadku wątpliwości może być zalecone RTG punktowe, pantomogram lub tomografia CBCT (bardzo dokładne badanie 3D).
2. Leczenie kanałowe (endodontyczne) – oczyszczenie wnętrza zęba
To główny etap leczenia martwego zęba, który polega na:
Usunięciu martwej miazgi – z komory i kanałów zęba.
Dokładnym oczyszczeniu mechaniczno-chemicznym – przy użyciu specjalnych narzędzi i płukanek (najczęściej podchloryn sodu, EDTA, chlorheksydyna).
Opracowaniu kanałów – nadaniu im odpowiedniego kształtu i szerokości.
Dezynfekcji i wysuszeniu – wnętrze zęba musi być sterylne.
Wypełnieniu kanałów – najczęściej materiałem gutaperkowym z uszczelniaczem.
Tymczasowym lub docelowym zamknięciu zęba – np. wypełnieniem kompozytowym.
W przypadku silnego stanu zapalnego leczenie może zostać rozłożone na 2–3 wizyty – wtedy stosuje się leki do kanałów i tymczasowe zamknięcie, by opanować infekcję.
3. Odbudowa korony zęba – funkcja i estetyka
Po wyleczeniu kanałów, ząb musi być odpowiednio odbudowany – martwe zęby są bowiem:
- osłabione strukturalnie,
- bardziej kruche,
- narażone na pęknięcia i złamania,
- często ściemniałe.
Opcje odbudowy zależą od stopnia zniszczenia:
- wypełnienie kompozytowe – jeśli ubytek jest niewielki,
- wkład koronowo-korzeniowy + korona protetyczna – przy znacznych ubytkach i martwych zębach bocznych,
- onlay lub inlay (wkłady) – odbudowa zachowująca więcej naturalnej tkanki.
W przypadku zębów przednich, które zmieniły kolor, można wykonać:
- wybielanie wewnętrzne zęba martwego,
- licówki porcelanowe,
- pełną koronę estetyczną.
4. Kontrola i obserwacja – leczenie nie kończy się na fotelu
Po zakończeniu leczenia kanałowego bardzo ważne są:
- regularne kontrole RTG – zazwyczaj po 6 i 12 miesiącach,
- monitorowanie okolicy okołowierzchołkowej – czy zmiany zapalne się cofnęły,
- dbałość o higienę i regularne wizyty kontrolne – martwe zęby wymagają szczególnej troski.
Ząb po leczeniu kanałowym może służyć wiele lat – ale tylko wtedy, gdy zostanie odpowiednio odbudowany i chroniony.
Czy leczenie martwego zęba boli?
W większości przypadków – nie. Nowoczesne znieczulenia miejscowe, mikroskopy endodontyczne, narzędzia maszynowe i techniki chemiczne sprawiają, że leczenie kanałowe jest:
- komfortowe,
- precyzyjne,
- coraz częściej możliwe do wykonania na jednej wizycie.
Pacjent odczuwa co najwyżej lekki dyskomfort po zabiegu, który zwykle mija w ciągu 2–3 dni.
Leczenie kanałowe czy usunięcie – co lepsze w przypadku martwego zęba?
Gdy dentysta stwierdza, że ząb jest martwy, pacjent często staje przed dylematem: leczyć kanałowo czy usunąć? Z jednej strony leczenie kanałowe może wydawać się czasochłonne i kosztowne. Z drugiej – usunięcie zęba to ostateczność, która niesie ze sobą długofalowe konsekwencje dla całej jamy ustnej. Aby podjąć właściwą decyzję, warto zrozumieć plusy, minusy i długoterminowe skutki obu rozwiązań.
Kiedy warto ratować ząb leczeniem kanałowym?
Leczenie kanałowe (endodontyczne) to standardowy sposób uratowania martwego zęba. Wskazane jest szczególnie wtedy, gdy:
- ząb nie jest mocno zniszczony,
- korzeń ma prawidłowy kształt i długość,
- nie ma rozległych zmian zapalnych w kości,
- pacjent chce zachować pełne uzębienie,
- możliwa jest estetyczna i funkcjonalna odbudowa.
Zalety leczenia kanałowego:
- ząb pozostaje na swoim miejscu – nie trzeba uzupełniać braku,
- zachowana zostaje funkcja żucia i estetyka,
- unikamy przemieszczania się zębów sąsiednich (efekt domina po ekstrakcji),
- leczenie jest jednorazowe – przy prawidłowym wykonaniu i odbudowie ząb może służyć wiele lat,
- często możliwe do wykonania na jednej wizycie (dzięki mikroskopowi i narzędziom maszynowym).
Czytaj więcej o zaletach leczenia kanałowego: https://lublinstomatolog.pl/blog/leczenie-kanalowe/leczenie-kanalowe-pod-mikroskopem/
Kiedy usunięcie zęba bywa konieczne?
Ekstrakcja (usunięcie zęba) rozważana jest, gdy:
- ząb jest zbyt zniszczony, by go odbudować (złamany poniżej linii dziąsła),
- korzeń jest pęknięty lub resorbowany,
- zmiany zapalne w kości są rozległe i nieodwracalne,
- pacjent nie wyraża zgody na leczenie kanałowe lub jego koszty,
- ząb nie pełni istotnej funkcji (np. zatrzymany lub ósmy ząb).
Wady ekstrakcji zęba:
- utrata funkcji zgryzowej – trudniejsze gryzienie, szczególnie w strefie bocznej,
- przesuwanie się sąsiednich zębów – tworzenie się szpar, zgryz otwarty,
- konieczność uzupełnienia braku – implantem, mostem lub protezą,
- zaburzenie symetrii uśmiechu i estetyki twarzy (w przypadku zębów przednich),
- ryzyko zaniku kości w miejscu po usunięciu zęba.
Leczyć czy usuwać? Jak podjąć decyzję?
W większości przypadków, jeśli tylko warunki na to pozwalają, warto leczyć martwego zęba kanałowo. To inwestycja w zachowanie własnego uzębienia – co zawsze jest lepsze niż jego uzupełnianie sztucznym zamiennikiem.
Decyzja powinna być podjęta wspólnie z dentystą, po analizie:
- stanu klinicznego zęba (RTG, uszkodzenia korony, kondycji korzenia),
- kosztów leczenia i odbudowy,
- potrzeb i możliwości pacjenta (wiek, zdrowie ogólne, preferencje estetyczne),
- prognozy długoterminowej – jakie są szanse na trwałość leczenia?
Czy martwy ząb może ściemnieć? Problemy estetyczne i ich rozwiązania
Wielu pacjentów, którzy przeszli leczenie kanałowe lub mają martwy ząb, zauważa po pewnym czasie, że jego kolor zaczyna się zmieniać. Ząb staje się szary, żółtawy, brunatny lub siny – i choć nie boli, coraz bardziej rzuca się w oczy, zwłaszcza jeśli znajduje się w strefie uśmiechu. Dlaczego tak się dzieje? I czy można coś z tym zrobić?
Dlaczego martwy ząb ciemnieje?
Przebarwienie martwego zęba ma kilka przyczyn, związanych przede wszystkim z procesami wewnętrznymi:
- Rozkład martwej miazgi – obumarłe tkanki wewnątrz zęba ulegają powolnemu rozkładowi, a produkty rozpadu mogą przesiąkać przez ścianki zęba i zmieniać jego barwę.
- Niewystarczająco oczyszczone kanały – jeśli miazga nie została dokładnie usunięta, może dojść do przewlekłego stanu zapalnego i trwałego przebarwienia.
- Wchłanianie substancji chemicznych – starsze metody leczenia kanałowego (np. z użyciem past zawierających srebro lub formaldehyd) również powodują z czasem ciemnienie zęba.
- Względy mechaniczne – ząb martwy jest słabszy, może być mikropęknięty, przez co bardziej chłonie barwniki z jedzenia, napojów czy dymu tytoniowego.
Ciemnienie zęba może pojawić się nawet kilka miesięcy lub lat po leczeniu, dlatego warto od początku zadbać o prawidłowe opracowanie kanałów i odpowiednią odbudowę.
Czy martwy ząb można wybielić?
Tak – istnieje kilka metod przywrócenia naturalnego koloru martwemu zębowi. Ich dobór zależy od stopnia przebarwienia, lokalizacji zęba i stanu jego struktury.
1. Wybielanie wewnętrzne (endo wybielanie)
To najczęściej stosowana metoda w przypadku martwych zębów przednich. Polega na:
- otwarciu zęba od strony podniebiennej,
- umieszczeniu specjalnego preparatu wybielającego w komorze zęba,
- zamknięciu zęba na kilka dni,
- powtarzaniu procedury 2–4 razy, aż do uzyskania pożądanego efektu.
Po zakończeniu wybielania kanał zostaje szczelnie zamknięty materiałem kompozytowym.
Zalety tej metody:
- jest bezpieczna i skuteczna,
- pozwala uniknąć zakładania licówek lub korony,
- działa tylko na ząb martwy – nie wybiela sąsiednich zdrowych zębów.
2. Licówki kompozytowe lub porcelanowe
Stosowane, gdy przebarwienie jest bardzo intensywne lub wybielanie nie przyniosło oczekiwanego efektu. Licówka to cienka nakładka na przednią powierzchnię zęba, która:
- przywraca estetykę,
- maskuje przebarwienie,
- poprawia kształt zęba (np. po złamaniu).
3. Korona protetyczna
Rozwiązanie dla zębów znacznie osłabionych lub mocno zniszczonych. Korona:
- pokrywa cały ząb,
- przywraca jego funkcję i wygląd,
- jest trwała i estetyczna (najczęściej porcelanowa lub cyrkonowa).
Czy wybielanie martwego zęba jest trwałe?
Efekty wybielania wewnętrznego mogą utrzymywać się przez lata, ale ząb martwy nadal nie ma własnej żywej struktury, więc z czasem może ponownie ściemnieć. Dlatego ważne jest:
- prawidłowe opracowanie kanałów,
- szczelna odbudowa zęba,
- unikanie barwiących produktów (kawa, czerwone wino, papierosy),
- regularne kontrole stomatologiczne.
Czy leczenie martwego zęba boli? Czego spodziewać się w gabinecie
Dla wielu pacjentów słowa „leczenie kanałowe” wywołują dreszcze – często zupełnie niepotrzebnie. Dzięki nowoczesnej technologii i skutecznym środkom znieczulającym, leczenie martwego zęba dziś wygląda zupełnie inaczej niż kilkanaście lat temu. W rzeczywistości to jeden z najmniej bolesnych zabiegów stomatologicznych, ponieważ… miazga (czyli nerw) już nie żyje.
Mimo to, warto wiedzieć, co dokładnie się dzieje podczas leczenia i jakie mogą być odczucia przed, w trakcie i po zabiegu.
Czy leczenie martwego zęba boli podczas zabiegu?
Nie. Martwy ząb, w którym miazga już obumarła, nie przewodzi bodźców bólowych, więc sam zabieg najczęściej jest całkowicie bezbolesny. Dodatkowo:
- lekarz zawsze stosuje znieczulenie miejscowe, nawet jeśli ząb „teoretycznie nic nie czuje” – dla komfortu pacjenta,
- nowoczesne techniki, takie jak mikroskop zabiegowy, narzędzia maszynowe i precyzyjne preparaty do płukania, sprawiają, że leczenie jest dokładne i znacznie mniej inwazyjne niż kiedyś.
Pacjent może jedynie odczuwać lekkie wibracje, ucisk lub dźwięki opracowywania kanałów – ale bez bólu.
A co po zabiegu – czy ząb może boleć później?
Tak, u niektórych pacjentów może pojawić się lekki dyskomfort lub nadwrażliwość przez 1–3 dni po leczeniu, co jest zupełnie normalne. Może to wynikać z:
- mechanicznego opracowania kanałów,
- reakcji tkanek okołowierzchołkowych na dezynfekcję,
- delikatnego stanu zapalnego w miejscu dawnego zakażenia.
Objawy są zazwyczaj łagodne i ustępują samoistnie. W razie potrzeby dentysta może zalecić:
- preparaty przeciwzapalne (np. ibuprofen),
- unikanie gryzienia twardych pokarmów po stronie leczonego zęba,
- kontrole w określonym terminie, by ocenić gojenie.
Kiedy leczenie może być nieprzyjemne lub bardziej złożone?
Są sytuacje, w których leczenie martwego zęba może wymagać większej uwagi lub kilku wizyt:
- jeśli w zębie występuje aktywny ropień lub ostre zapalenie tkanek,
- jeśli ząb był wcześniej nieprawidłowo leczony kanałowo (tzw. reendo),
- jeśli pacjent ma trudną anatomię kanałów lub silny odruch wymiotny,
- jeśli występują dodatkowe objawy ogólnoustrojowe (gorączka, opuchlizna).
W takich przypadkach leczenie może być rozłożone na etapy i wspomagane farmakologicznie (np. antybiotykami lub lekami przeciwobrzękowymi). Nadal jednak współczesna stomatologia pozwala przeprowadzić je komfortowo i skutecznie.
Czy warto się bać leczenia martwego zęba?
Zdecydowanie nie. Strach przed leczeniem kanałowym to relikt przeszłości – dziś większość zabiegów przeprowadza się:
- bez bólu,
- w krótkim czasie (czasem nawet na jednej wizycie),
- z dużą precyzją i bardzo wysokim odsetkiem powodzenia,
- bez konieczności rezygnowania z pracy czy codziennych obowiązków.
Warto też pamiętać, że im szybciej zostanie wdrożone leczenie, tym prostszy i mniej inwazyjny będzie cały proces. Zwlekanie naraża nie tylko ząb, ale i zdrowie ogólne pacjenta.
Martwy ząb u dziecka – jak reagować, gdy ząb obumiera za wcześnie?
Choć martwy ząb najczęściej kojarzy się z dorosłymi, również u dzieci może dojść do obumarcia miazgi — zarówno w zębach mlecznych, jak i stałych. Dla rodziców to zwykle duże zaskoczenie, bo problem nie zawsze wiąże się z bólem. Tymczasem martwy ząb u dziecka wymaga szczególnej uwagi i indywidualnego podejścia, ponieważ może wpływać na rozwój całej jamy ustnej, a nawet zawiązki zębów stałych.
Dlaczego ząb u dziecka może obumrzeć?
Najczęstsze przyczyny to:
- uraz mechaniczny – upadek, uderzenie, nagryzienie twardego przedmiotu (np. klocka lub orzecha),
- głęboka próchnica – u dzieci rozwija się szybko, bo szkliwo zębów mlecznych jest cienkie,
- przewlekłe infekcje – wynikające z zaniedbań higienicznych,
- niewłaściwe leczenie lub nieusunięta próchnica – np. pozostawienie bakterii pod wypełnieniem.
Ząb może nie boleć, ale po czasie zacząć zmieniać kolor, reagować bólem na nacisk lub dawać oznaki stanu zapalnego (np. przetoka na dziąśle).
Czy martwy ząb mleczny trzeba leczyć?
Tak — zdecydowanie. Ząb mleczny nie jest „na chwilę”, jak często się sądzi. Pełni ważne funkcje:
- utrzymuje miejsce dla zęba stałego,
- wspiera rozwój szczęki i żuchwy,
- wpływa na wymowę, jedzenie i wygląd dziecka,
- chroni zawiązek zęba stałego pod spodem.
Pozostawienie martwego mleczaka bez leczenia może doprowadzić do:
- zakażenia zawiązka zęba stałego,
- utraty miejsca w łuku zębowym i późniejszych wad zgryzu,
- tworzenia się torbieli, ropni i stanów zapalnych,
- pogorszenia ogólnego samopoczucia dziecka.
Jak leczy się martwy ząb u dziecka?
Leczenie zależy od wieku, rodzaju zęba i stopnia uszkodzenia. Możliwe rozwiązania to:
- leczenie kanałowe zęba mlecznego – uproszczone w porównaniu do stałych zębów,
- leczenie biologiczne (np. amputacja miazgi koronowej) – stosowane przy częściowym uszkodzeniu miazgi,
- ekstrakcja (usunięcie zęba) – jeśli ząb jest zbyt zniszczony lub istnieje ryzyko dla zęba stałego.
W przypadku zębów stałych, które dopiero się wyżynają i mają otwarty wierzchołek, stosuje się specjalne metody zabezpieczające i wspomagające rozwój korzenia, np. apeksyfikację.
Jakie objawy powinny zaniepokoić rodzica?
- Zmiana koloru zęba na szary, ciemny lub siny
- Przetoka, czyli mały otwór z sączącą się ropą na dziąśle
- Opuchlizna w okolicy zęba lub ból przy nagryzaniu
- Długotrwały brak reakcji dziecka na uraz — nawet sprzed kilku miesięcy
W każdej z tych sytuacji należy jak najszybciej udać się do stomatologa dziecięcego. Wczesna reakcja to szansa na uratowanie zęba lub zapobieżenie poważniejszym problemom.
Kiedy martwy ząb wymaga natychmiastowej interwencji? Objawy, których nie wolno ignorować
Martwy ząb przez wiele miesięcy może nie dawać żadnych niepokojących objawów — aż do momentu, gdy infekcja się uaktywni i przerodzi w stan ostry, który wymaga pilnej pomocy stomatologicznej, a czasem nawet interwencji antybiotykowej lub chirurgicznej. W tej sekcji wyjaśniamy, jak rozpoznać sytuację alarmową i kiedy nie należy czekać z wizytą u dentysty ani dnia dłużej.
Objawy wskazujące na stan ostry:
- Silny, pulsujący ból zęba lub dziąsła — zwłaszcza taki, który nasila się w nocy, podczas leżenia lub przy nagryzaniu.
- Obrzęk dziąsła, policzka, wargi lub okolic pod oczami — może być objawem ropnia okołowierzchołkowego.
- Gorączka, dreszcze, złe samopoczucie — świadczą o reakcji ogólnoustrojowej na zakażenie.
- Trudności z otwieraniem ust, połykaniem lub mówieniem — mogą wskazywać na szerzący się stan zapalny.
- Wyciekanie ropy przez przetokę lub ranę w dziąśle — nawet jeśli nie towarzyszy mu ból, oznacza aktywny proces zapalny.
- Ząb wydaje się „wysunięty” lub boli przy dotyku — to efekt stanu zapalnego i zwiększonego ciśnienia w okolicy korzenia.
Dlaczego szybka reakcja jest tak ważna?
Stan zapalny wokół martwego zęba może bardzo szybko:
- rozprzestrzenić się na kość i otaczające tkanki,
- wywołać zapalenie okostnej,
- przejść w uogólnione zakażenie (np. bakteriemię, a w skrajnych przypadkach nawet sepsę),
- doprowadzić do konieczności usunięcia zęba i okolicznych struktur,
- zagrozić zdrowiu innych narządów, jeśli bakterie dostaną się do krwiobiegu.
Nie należy więc czekać, aż „samo przejdzie” — martwego zęba organizm nie wyleczy sam. Potrzebna jest fachowa interwencja.
Co zrobić w nagłej sytuacji?
- Skontaktuj się ze stomatologiem jak najszybciej — nawet jeśli objawy pojawiły się wieczorem lub w weekend, warto poszukać gabinetu dyżurnego.
- Nie zażywaj antybiotyków na własną rękę — ich niewłaściwe stosowanie może zamaskować problem, ale nie usunąć jego przyczyny.
- Nie ogrzewaj bolącego miejsca — ciepło może nasilić stan zapalny.
- W razie obrzęku lub gorączki – zastosuj zimny okład i lek przeciwbólowy/przeciwzapalny (np. ibuprofen), ale to tylko działanie tymczasowe.
HOW-TO: Co zrobić, gdy podejrzewasz martwy ząb? (krok po kroku)
- Krok 1: Zbierz „sygnały ostrzegawcze” w 30 sekund
Zwróć uwagę, czy było: nagłe ustąpienie bólu, ściemnienie zęba, brak reakcji na zimno/ciepło, dyskomfort przy nagryzaniu, przetoka na dziąśle, nieprzyjemny posmak.
- Krok 2: Nie testuj zęba „na siłę”
Nie opukuj go mocno, nie gryź twardych rzeczy „żeby sprawdzić”. To może podrażnić stan zapalny i nasilić objawy.
- Krok 3: Umów wizytę diagnostyczną (najlepiej szybko, nie „kiedyś”)
Poproś o ocenę żywotności miazgi (testy) i zdjęcie RTG. To jedyny sposób, żeby potwierdzić, czy ząb jest martwy i czy są zmiany okołowierzchołkowe.
- Krok 4: Jeśli jest stan zapalny – lecz przyczynę, nie objaw
Leki przeciwbólowe mogą pomóc doraźnie, ale nie usuwają bakterii z kanałów. Leczenie zwykle oznacza leczenie kanałowe (endodoncję) lub – jeśli nie da się uratować zęba – ekstrakcję i plan odbudowy.
- Krok 5: Zadbaj o odbudowę zęba po leczeniu
Ząb po leczeniu kanałowym jest bardziej kruchy. Jeśli ubytek jest duży, lekarz może zalecić wkład i koronę / onlay, żeby uniknąć pęknięcia.
- Krok 6: Wróć na kontrolę
Kontrola kliniczna i RTG po leczeniu pomaga ocenić, czy zmiany zapalne się cofają. To ważne, bo „cisza” nie zawsze oznacza koniec problemu.
FAQ – Martwy ząb
Tak. Martwy ząb mleczny może zarazić zawiązek zęba stałego, zaburzyć rozwój zgryzu i doprowadzić do poważnych stanów zapalnych. Stomatolog dobiera odpowiednie leczenie (kanałowe, biologiczne lub usunięcie) w zależności od wieku dziecka i stanu zęba.
Martwy ząb często nie boli, ale może zmienić kolor (na szary, żółtawy, brunatny), inaczej reagować przy nagryzaniu lub w ogóle nie reagować na zimno i ciepło. Ostateczną diagnozę stawia stomatolog na podstawie badania, testów żywotności i zdjęcia RTG.
Tak. Martwy ząb jest potencjalnym ogniskiem zakażenia – w jego wnętrzu mogą rozwijać się bakterie, które prowadzą do stanów zapalnych, ropni, torbieli, a nawet powikłań ogólnoustrojowych. Brak bólu nie oznacza braku problemu.
Najczęściej winna jest głęboka próchnica, uraz mechaniczny (np. uderzenie, upadek), źle dopasowane wypełnienia lub korony, przeciążenia zgryzowe, a także przewlekłe mikrourazy czy zaburzenia krążenia w miazdze.
Standardem jest leczenie kanałowe: usunięcie martwej miazgi, dokładne oczyszczenie i zdezynfekowanie kanałów, ich szczelne wypełnienie, a następnie odbudowa korony zęba (plomba, wkład, korona). Celem jest usunięcie ogniska zapalnego i uratowanie zęba.
Zwykle nie. Martwy ząb „nie czuje”, a dodatkowo lekarz stosuje skuteczne znieczulenie miejscowe. Pacjent może odczuwać jedynie lekki dyskomfort w trakcie i ewentualną tkliwość przez 1–3 dni po zabiegu.
Tak. Stosuje się wybielanie wewnętrzne (endo wybielanie), a w razie potrzeby także licówki lub koronę protetyczną. Dzięki tym metodom można przywrócić zębowi naturalny, jasny kolor i poprawić estetykę uśmiechu.
Gdy pojawi się silny, pulsujący ból, obrzęk dziąsła lub twarzy, gorączka, trudności z otwieraniem ust czy przełykaniem, wyciek ropy z dziąsła lub wrażenie „wysunięcia” zęba. To mogą być objawy ropnia lub ostrego stanu zapalnego.
Podsumowanie: Martwy ząb – brak bólu nie oznacza braku problemu
Z pozoru „cichy” i bezobjawowy, martwy ząb może wydawać się niegroźny. Nie boli, nie przeszkadza, czasem nawet wygląda całkiem normalnie. Niestety, to właśnie brak bólu bywa największym zagrożeniem, ponieważ usypia czujność pacjenta i opóźnia podjęcie leczenia. A tymczasem martwy ząb to nic innego jak ograniczony biologicznie, ale potencjalnie aktywny punkt zapalny w organizmie.
W artykule omówiliśmy:
- czym jest martwy ząb i jak rozpoznać jego obumarcie,
- co najczęściej prowadzi do martwicy miazgi – od próchnicy po uraz,
- dlaczego brak bólu nie jest dowodem na zdrowie,
- jakie są realne zagrożenia wynikające z nieleczonego zęba – ropień, torbiel, przetoka, zakażenie, a nawet powikłania ogólnoustrojowe,
- jak wygląda leczenie martwego zęba – krok po kroku, z naciskiem na bezpieczeństwo i komfort pacjenta,
- kiedy lepiej leczyć, a kiedy usunąć ząb,
- co zrobić, gdy martwy ząb ciemnieje,
- oraz jakie są różnice w leczeniu u dzieci i dorosłych,
- i kiedy sytuacja staje się pilna – wymagająca natychmiastowej interwencji.
Najważniejszy wniosek?
Martwy ząb trzeba leczyć – nawet jeśli nie boli. To inwestycja nie tylko w zdrowie jamy ustnej, ale również w ochronę całego organizmu.
Jeśli masz wątpliwości — umów kontrolę i wykonaj RTG. To najprostszy sposób, by zamknąć temat zanim stanie się problemem.
Co jeszcze warto wiedzieć?
Martwy ząb może wyglądać „normalnie” – i to jest największa pułapka
Część zębów obumiera bez spektakularnych objawów. Pacjent czuje ulgę, bo przestało boleć, a tymczasem infekcja może rozwijać się wokół korzenia. Dlatego w diagnostyce liczy się nie tylko to, co czujesz, ale też obraz RTG.
„Krostka” na dziąśle (przetoka) to nie kosmetyczny problem
Przetoka to sygnał, że organizm próbuje odprowadzać zakażenie. Może nie boleć, ale oznacza przewlekły stan zapalny w kości. Taki ząb wymaga leczenia przyczyny, a nie „czekania, aż zniknie”.
Ząb martwy warto ratować, jeśli tylko się da
Własny ząb (nawet po kanałowym) zwykle daje lepszą funkcję niż usunięcie i późniejsze uzupełnianie. Ekstrakcja to ostateczność — bo uruchamia efekt domina: przesuwanie zębów, zaniki kości, większe koszty odbudowy.
Estetyka: przebarwienie można leczyć, ale plan ma znaczenie
Jeśli martwy ząb ściemniał, rozwiązaniem bywa wybielanie wewnętrzne, licówka lub korona. Metodę dobiera się do stopnia przebarwienia i stanu tkanek — ważne, by najpierw ząb był dobrze wyleczony, a dopiero potem „upiększany”.
U dzieci po urazie kontrola jest obowiązkowa, nawet gdy „nic się nie stało”
Uraz może przerwać ukrwienie miazgi i po czasie dać efekt ściemnienia lub infekcji. Lepiej sprawdzić ząb wcześniej niż leczyć ropień później.
Co warto zapamiętać jako pacjent?
- Nie każdy problem stomatologiczny musi boleć.
- Ząb martwy, ale nieleczony, może szkodzić w sposób niewidoczny.
- Nowoczesne leczenie kanałowe jest bezpieczne, szybkie i często bezbolesne.
- Regularne kontrole stomatologiczne pozwalają wykryć zmiany, zanim staną się poważne.
- Warto dbać o każdy ząb – także ten, który „już nic nie czuje”.
Data publikacji: 20.05.2025
Data aktualizacji: 26.01.2026
