TL;DR – krwawienie dziąseł
- Najważniejsze: Krwawienie dziąseł nie jest normą i zawsze sygnalizuje problem zdrowotny.
- Konkret + liczba: Nawet około 80% przypadków ma związek z zapaleniem dziąseł, przyzębia lub nieprawidłową higieną.
- Dla kogo: Dla osób, u których pojawia się krew podczas szczotkowania, nitkowania lub samoistnie.
- Efekt: Wczesne rozpoznanie przyczyny pozwala zapobiec chorobom przyzębia i poważnym schorzeniom ogólnym.
- Aktualizacja: 17.02.2026. Zacznij teraz.
Wstęp
Krwawienie dziąseł to objaw, który wiele osób bagatelizuje, uznając go za drobną dolegliwość lub efekt zbyt mocnego szczotkowania. W rzeczywistości jest to jeden z najczęstszych sygnałów ostrzegawczych wysyłanych przez organizm. Zdrowe dziąsła nie powinny krwawić, nawet podczas intensywnej higieny jamy ustnej.
Hook: Krew na szczoteczce to nie przypadek – to informacja, że w organizmie dzieje się coś niepokojącego.
W tym artykule wyjaśniamy, jakie są miejscowe i ogólnoustrojowe przyczyny krwawienia dziąseł, kiedy wystarczy leczenie stomatologiczne, a kiedy objaw ten powinien skłonić do szerszej diagnostyki. Dzięki temu dowiesz się, jak reagować świadomie i skutecznie.
Z tego artykułu dowiesz się:
- Dlaczego krwawienie dziąseł jest objawem, a nie chorobą samą w sobie.
- Jakie miejscowe problemy w jamie ustnej najczęściej powodują krwawienie.
- Kiedy krwawienie dziąseł może wskazywać na choroby ogólnoustrojowe.
- Jak odróżnić przyczynę stomatologiczną od problemu ogólnego.
- Co zrobić, aby zahamować krwawienie i zapobiec jego nawrotom.
Krwawienie dziąseł – co oznacza i dlaczego nie wolno go ignorować?
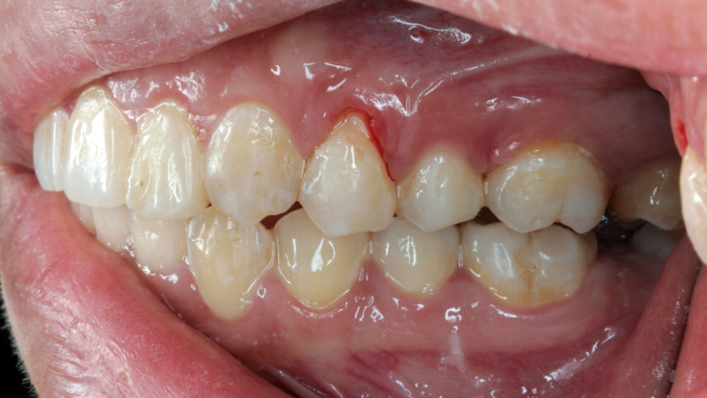
Krwawienie dziąseł jest objawem stanu zapalnego. Najczęściej pojawia się wtedy, gdy tkanki przyzębia reagują na obecność bakterii, płytki nazębnej lub innych czynników drażniących. Dziąsła stają się wtedy przekrwione, obrzęknięte i bardziej podatne na uszkodzenia mechaniczne.
Krwawienie jako sygnał zapalenia
Stan zapalny dziąseł to naturalna reakcja obronna organizmu. Problem pojawia się wtedy, gdy zapalenie utrzymuje się przewlekle. Długotrwałe krwawienie może prowadzić do rozwoju zapalenia przyzębia, a w konsekwencji do rozchwiania, a nawet utraty zębów.
Czytaj więcej: https://lublinstomatolog.pl/blog/lublin-stomatolog/periodontologia/zapalenie-dziasel-przyczyny-i-objawy/
Dlaczego zdrowe dziąsła nie krwawią?
Prawidłowo funkcjonujące dziąsła są jędrne, różowe i ściśle przylegają do zębów. Nawet intensywne szczotkowanie nie powinno powodować krwawienia. Jeśli pojawia się krew, oznacza to, że struktura tkanek została osłabiona przez stan zapalny lub inne czynniki.
Krótkotrwałe a przewlekłe krwawienie
Jednorazowe krwawienie może być efektem urazu mechanicznego, np. zbyt twardej szczoteczki. Przewlekłe, nawracające krwawienie dziąseł jest już sygnałem alarmowym, którego nie należy ignorować.
“The mouth is a mirror of the body” – Jama ustna jest zwierciadłem stanu zdrowia całego organizmu.
Ten cytat doskonale oddaje fakt, że zmiany w dziąsłach często odzwierciedlają problemy ogólne.
Krwawienie dziąseł – przyczyny miejscowe związane z jamą ustną
Najczęstszą przyczyną krwawienia dziąseł są problemy miejscowe, czyli bezpośrednio związane z jamą ustną. W wielu przypadkach ich wyeliminowanie pozwala szybko zahamować objawy.
Zapalenie dziąseł i zapalenie przyzębia
Zapalenie dziąseł to początkowy etap choroby przyzębia. Objawia się krwawieniem, obrzękiem i zaczerwienieniem. Nieleczone zapalenie może przejść w zapalenie przyzębia, które prowadzi do uszkodzenia struktur utrzymujących zęby w kości.
Kamień nazębny i płytka bakteryjna
Nagromadzona płytka bakteryjna jest głównym czynnikiem drażniącym dziąsła. Z czasem ulega mineralizacji i przekształca się w kamień nazębny, którego nie da się usunąć domowymi metodami. Obecność kamienia sprzyja przewlekłemu krwawieniu dziąseł.
Czytaj więcej: https://lublinstomatolog.pl/blog/lublin-stomatolog/periodontologia/kamien-na-zebach-skad-sie-bierze-i-jak-sie-go-skutecznie-pozbyc/
Czytaj więcej: https://lublinstomatolog.pl/blog/lublin-stomatolog/periodontologia/usuwanie-kamienia-nazebnego-dlaczego-jest-tak-wazne-dla-zdrowia/
Nieprawidłowa technika szczotkowania
Zbyt agresywne szczotkowanie lub używanie twardej szczoteczki może prowadzić do mikrourazów dziąseł. Co ważne, również zbyt rzadkie lub niedokładne szczotkowanie zwiększa ryzyko krwawienia poprzez gromadzenie bakterii.
Źle dopasowane uzupełnienia protetyczne
Korony, mosty czy protezy, które nie są idealnie dopasowane, mogą mechanicznie podrażniać dziąsła. Stały ucisk i tarcie sprzyjają stanom zapalnym i krwawieniu.
Krwawienie przy nitkowaniu – mit czy sygnał alarmowy?
Wielu pacjentów rezygnuje z nitkowania, gdy pojawia się krew. Tymczasem krwawienie podczas nitkowania najczęściej oznacza istniejący stan zapalny, a nie błąd samej techniki. Regularne, prawidłowe nitkowanie pomaga stopniowo wyciszyć zapalenie.
Czytaj więcej: https://lublinstomatolog.pl/blog/stomatologia-zachowawcza/nitkowanie-zebow-jak-robic-to-prawidlowo/
Porównanie najczęstszych miejscowych przyczyn krwawienia dziąseł
| Przyczyna miejscowa | Charakter krwawienia | Objawy towarzyszące | Co zrobić |
|---|---|---|---|
| Zapalenie dziąseł | przy szczotkowaniu | obrzęk, zaczerwienienie | poprawa higieny |
| Kamień nazębny | częste, nawracające | nieświeży oddech | skaling |
| Uraz mechaniczny | jednorazowe | ból miejscowy | obserwacja |
| Uzupełnienia protetyczne | przewlekłe | podrażnienie | korekta |

Ogólnoustrojowe przyczyny krwawienia dziąseł
Choć najczęściej krwawienie dziąseł ma związek z problemami w jamie ustnej, w części przypadków jest ono objawem chorób ogólnoustrojowych. To właśnie dlatego tego sygnału nie wolno bagatelizować, zwłaszcza gdy utrzymuje się mimo prawidłowej higieny i leczenia stomatologicznego.
Choroby krwi i zaburzenia krzepnięcia
Zaburzenia krzepnięcia krwi mogą powodować łatwe i przedłużające się krwawienia, także z dziąseł. Dotyczy to m.in. skaz krwotocznych, anemii czy białaczek. Krwawienie często pojawia się samoistnie, bez urazu, i bywa trudne do opanowania. W takich sytuacjach stomatolog może być pierwszym specjalistą, który zauważy problem.
Cukrzyca i choroby metaboliczne
U osób chorujących na cukrzycę krwawienie dziąseł występuje częściej i ma cięższy przebieg. Podwyższony poziom glukozy sprzyja infekcjom i osłabia procesy regeneracyjne. Co istotne, zależność działa w obie strony – choroby przyzębia mogą pogarszać kontrolę glikemii. Dlatego krwawienie dziąseł bywa jednym z pierwszych objawów źle kontrolowanej cukrzycy.
Niedobory witamin – prostym językiem
Niedobór witaminy C osłabia ściany naczyń krwionośnych, co zwiększa ich podatność na pękanie. Witamina K z kolei odgrywa kluczową rolę w procesie krzepnięcia krwi. Jeśli ich poziom jest zbyt niski, dziąsła mogą krwawić nawet przy niewielkim podrażnieniu. Przykład: dieta uboga w warzywa i owoce może sprzyjać takim objawom.
Choroby autoimmunologiczne
Niektóre choroby autoimmunologiczne powodują przewlekłe stany zapalne błon śluzowych, w tym dziąseł. Krwawienie bywa jednym z wielu objawów towarzyszących, obok suchości w jamie ustnej czy bolesności.
Leki i hormony a krwawienie dziąseł
Krwawienie dziąseł może być również skutkiem ubocznym stosowanych leków lub zmian hormonalnych zachodzących w organizmie.
Leki przeciwzakrzepowe
Preparaty zmniejszające krzepliwość krwi zwiększają skłonność do krwawień, także w obrębie jamy ustnej. Nawet niewielki stan zapalny dziąseł może wtedy prowadzić do wyraźnych objawów.
Hormony, ciąża i antykoncepcja
Zmiany hormonalne wpływają na ukrwienie i reakcję zapalną dziąseł. U kobiet w ciąży oraz stosujących antykoncepcję hormonalną krwawienie dziąseł występuje częściej, nawet przy dobrej higienie.
Jak rozpoznać, czy przyczyna krwawienia jest miejscowa czy ogólnoustrojowa?
Rozróżnienie przyczyny krwawienia dziąseł jest kluczowe dla skutecznego leczenia.
Objawy alarmowe
Na szczególną uwagę zasługują:
- krwawienia samoistne,
- krwawienie utrzymujące się mimo leczenia stomatologicznego,
- osłabienie, bladość, łatwe siniaczenie.
Wywiad i diagnostyka
Stomatolog przeprowadza dokładny wywiad i ocenia stan jamy ustnej. Jeśli obraz kliniczny tego wymaga, pacjent kierowany jest na badania ogólne lub do lekarza rodzinnego.
„Lepiej zapobiegać niż leczyć” – Hipokrates
To zdanie doskonale oddaje sens wczesnej diagnostyki krwawienia dziąseł.

Jak leczyć i zapobiegać krwawieniu dziąseł?
Leczenie krwawienia dziąseł zawsze powinno być ukierunkowane na przyczynę, a nie wyłącznie na objaw.
Leczenie stomatologiczne
Skaling, piaskowanie oraz leczenie periodontologiczne pozwalają usunąć czynniki zapalne i zahamować krwawienie.
Zmiana nawyków higienicznych
Prawidłowa technika szczotkowania, nitkowanie i regularność mają kluczowe znaczenie dla zdrowia dziąseł.
Profilaktyka długoterminowa
Regularne wizyty kontrolne i higienizacyjne znacząco zmniejszają ryzyko nawrotów.
Czytaj więcej: https://lublinstomatolog.pl/blog/stomatologia-zachowawcza/zdrowa-dieta-dla-zdrowych-zebow/
HOW-TO: co zrobić krok po kroku, gdy pojawia się krwawienie dziąseł?
- Krok 1: Zauważ i nazwij problem, zamiast go ignorować
Krwawienie dziąseł, nawet jeśli pojawia się tylko podczas szczotkowania lub nitkowania, nie jest stanem prawidłowym. To sygnał zapalny wysyłany przez organizm, który informuje o miejscowym podrażnieniu lub problemie ogólnoustrojowym. Im wcześniej zostanie zauważony, tym łatwiej zahamować jego rozwój. Ignorowanie objawu często prowadzi do pogłębienia zapalenia i rozwoju chorób przyzębia.
- Krok 2: Oceń, kiedy i jak często występuje krwawienie
Zwróć uwagę, czy krwawienie dziąseł pojawia się sporadycznie, czy regularnie. Istotne jest również to, czy występuje samoistnie, czy tylko podczas higieny jamy ustnej. Krótkotrwałe krwawienie po urazie mechanicznym może mieć inną przyczynę niż przewlekłe krwawienie towarzyszące obrzękowi i zaczerwienieniu. Taka obserwacja jest bardzo pomocna podczas wizyty u stomatologa lub lekarza.
- Krok 3: Skoryguj codzienną higienę jamy ustnej
Nieprawidłowa technika szczotkowania oraz brak nitkowania to jedne z najczęstszych przyczyn krwawienia dziąseł. Warto sięgnąć po miękką lub średnią szczoteczkę i szczotkować zęby delikatnie, ruchami wymiatającymi. Regularne usuwanie płytki bakteryjnej zmniejsza stan zapalny i pozwala dziąsłom się regenerować. Paradoksalnie, zaprzestanie szczotkowania z powodu krwawienia tylko pogarsza sytuację.
- Krok 4: Umów wizytę u stomatologa i wykonaj diagnostykę
Jeśli krwawienie dziąseł utrzymuje się dłużej niż kilka dni, konieczna jest konsultacja stomatologiczna. Lekarz oceni stan dziąseł, obecność kamienia nazębnego oraz ewentualne objawy zapalenia przyzębia. W razie potrzeby zleci profesjonalną higienizację lub dalsze badania. To kluczowy moment, który pozwala ustalić, czy problem ma charakter miejscowy, czy wymaga szerszej diagnostyki.
- Krok 5: Sprawdź możliwe przyczyny ogólnoustrojowe
Jeżeli leczenie stomatologiczne nie przynosi poprawy, krwawienie dziąseł może być związane z chorobami ogólnymi. Niedobory witamin, zaburzenia krzepnięcia krwi, cukrzyca czy choroby autoimmunologiczne często dają pierwsze objawy właśnie w jamie ustnej. W takiej sytuacji stomatolog może skierować pacjenta do lekarza rodzinnego lub na badania laboratoryjne. Wczesne wykrycie choroby ogólnoustrojowej znacząco poprawia rokowanie.
- Krok 6: Wprowadź profilaktykę i kontroluj stan dziąseł długoterminowo
Po ustaleniu przyczyny i wdrożeniu leczenia kluczowe jest zapobieganie nawrotom krwawienia dziąseł. Regularne wizyty kontrolne, higienizacja, odpowiednia dieta i konsekwentna higiena jamy ustnej pozwalają utrzymać zdrowe dziąsła. Profilaktyka jest znacznie prostsza i mniej kosztowna niż leczenie zaawansowanych chorób przyzębia. To inwestycja w zdrowie całego organizmu, nie tylko jamy ustnej.

FAQ – najczęściej zadawane pytania
Nie zawsze, ale zawsze jest sygnałem ostrzegawczym. Może być efektem przejściowego podrażnienia, ale częściej wskazuje na stan zapalny. Nawet jeśli objaw wydaje się błahy, warto go skonsultować. Wczesna reakcja zapobiega poważniejszym problemom. Ignorowanie objawu zwiększa ryzyko chorób przyzębia.
Nie, zdrowe dziąsła nie krwawią podczas szczotkowania. Krwawienie świadczy o ich osłabieniu lub stanie zapalnym. Zmiana techniki i konsultacja stomatologiczna są wskazane. To jeden z najczęstszych powodów wizyt u dentysty.
Pośrednio tak. Przewlekły stres obniża odporność i sprzyja stanom zapalnym. Może też nasilać bruksizm i zaniedbania higieniczne. W efekcie dziąsła stają się bardziej podatne na krwawienie.
Tak, w rzadkich przypadkach. Zwykle towarzyszą mu inne objawy, takie jak osłabienie czy częste infekcje. Dlatego przewlekłe, samoistne krwawienie wymaga diagnostyki ogólnej. Stomatolog często kieruje pacjenta na badania krwi.
Kluczowe są witaminy C i K. Wpływają one na szczelność naczyń i proces krzepnięcia. Ich niedobór może nasilać krwawienie. Zbilansowana dieta ma ogromne znaczenie.
Tak, szczególnie przy niedostatecznej higienie lub wyrzynaniu zębów. Objaw ten również wymaga obserwacji. U dzieci często łatwo go wyeliminować dzięki edukacji i kontroli.
Mogą wspierać leczenie, ale nie usuwają przyczyny. Najlepiej traktować je jako uzupełnienie higieny. Wybór preparatu warto skonsultować z dentystą.
Gdy krwawienie utrzymuje się mimo leczenia stomatologicznego. Szczególnie jeśli pojawiają się inne objawy ogólne. Lekarz zleci odpowiednie badania.
W większości przypadków tak. Kluczem jest szybkie rozpoznanie przyczyny. Odpowiednie leczenie i profilaktyka dają bardzo dobre efekty.
Może wracać, jeśli nie usunie się przyczyny. Dlatego tak ważna jest długoterminowa profilaktyka. Regularna higienizacja znacząco zmniejsza ryzyko nawrotów.
Co jeszcze warto wiedzieć?
Rozwijając temat krwawienia dziąseł, warto zwrócić uwagę na:
- związek chorób przyzębia z chorobami serca,
- wpływ diety i mikroelementów na zdrowie dziąseł,
- rolę regularnych wizyt higienizacyjnych,
- nowoczesne metody leczenia periodontologicznego.
Czytaj więcej: https://lublinstomatolog.pl/blog/stomatologia-zachowawcza/higienizacja-zebow-dlaczego-jest-tak-wazna/
Podsumowanie – nie ignoruj sygnałów ostrzegawczych
Krwawienie dziąseł to objaw, którego nie wolno lekceważyć. Może być pierwszym sygnałem problemów stomatologicznych lub ogólnoustrojowych. Wczesna diagnostyka, właściwa higiena i regularna kontrola pozwalają zachować zdrowe dziąsła i chronić cały organizm. Jeśli zauważasz krwawienie – działaj, zamiast czekać.
Data publikacji: 17.02.2026
Data aktualizacji: 17.02.2026
