Aparat ortodontyczny przed i po – Jesteście ciekawi efektów leczenia? Zapraszamy do zapoznania się z tym artykułem!
Leczenie ortodontyczne to inwestycja w zdrowie, estetykę i komfort życia. Proste zęby nie tylko poprawiają wygląd uśmiechu, ale także wpływają na funkcjonowanie całej jamy ustnej. Coraz więcej osób, niezależnie od wieku, decyduje się na aparat ortodontyczny, aby skorygować wady zgryzu, zapobiec problemom zdrowotnym i poprawić jakość codziennego życia. Nowoczesna ortodoncja oferuje szeroki wybór metod leczenia – od tradycyjnych aparatów stałych po dyskretne nakładki korygujące, dzięki czemu każdy pacjent może znaleźć rozwiązanie dopasowane do swoich potrzeb.
Wpływ prostych zębów na estetykę i pewność siebie
Estetyka uśmiechu odgrywa ogromną rolę w postrzeganiu siebie i w relacjach z innymi ludźmi. Proste, równe zęby sprawiają, że twarz wygląda harmonijnie, a uśmiech staje się bardziej atrakcyjny.
- Zwiększona pewność siebie – osoby z prostymi zębami częściej się uśmiechają, co wpływa na ich otwartość i pozytywne odbieranie przez innych.
- Lepsze pierwsze wrażenie – uśmiech to jeden z najważniejszych elementów wyglądu, który wpływa na ocenę naszej osoby w życiu prywatnym i zawodowym.
- Wizerunek profesjonalizmu – osoby z zadbanym uśmiechem są często postrzegane jako bardziej kompetentne i godne zaufania.
Liczne badania pokazują, że wygląd zębów ma znaczący wpływ na poczucie własnej wartości oraz pewność siebie w kontaktach społecznych. Korekcja wad zgryzu może całkowicie zmienić sposób, w jaki postrzegamy siebie i jak jesteśmy odbierani przez otoczenie.
Korzyści zdrowotne wynikające z prawidłowego zgryzu
Leczenie ortodontyczne nie ogranicza się jedynie do poprawy wyglądu – prawidłowy zgryz jest kluczowy dla zdrowia całej jamy ustnej oraz ogólnego samopoczucia.
1. Lepsza higiena jamy ustnej
Nieprawidłowe ustawienie zębów często powoduje trudności w utrzymaniu ich czystości. Stłoczone zęby sprawiają, że resztki jedzenia łatwiej gromadzą się w trudno dostępnych miejscach, co zwiększa ryzyko:
- Próchnicy,
- Zapaleń dziąseł,
- Powstawania kamienia nazębnego.
Po zakończeniu leczenia ortodontycznego mycie zębów i nitkowanie staje się łatwiejsze i skuteczniejsze.
2. Zdrowe dziąsła i mniejsze ryzyko paradontozy
Zbyt ciasno ustawione zęby mogą prowadzić do odsłaniania szyjek zębowych i osłabienia przyzębia. Z kolei zbyt duże odstępy między zębami mogą powodować nadmierne gromadzenie się bakterii. Korekcja ustawienia zębów pomaga w zachowaniu zdrowych dziąseł, zmniejszając ryzyko chorób przyzębia.
3. Mniejsze ryzyko ścierania się zębów i problemów ze stawami skroniowo-żuchwowymi
Nieprawidłowy zgryz może powodować nierównomierne obciążenie zębów, co prowadzi do ich nadmiernego ścierania się, osłabienia szkliwa, a nawet bólu szczęki i problemów ze stawem skroniowo-żuchwowym. Prawidłowo ustawione zęby zapewniają równomierne rozłożenie sił podczas żucia, co zapobiega przedwczesnemu zużyciu zębów.
4. Lepsza funkcja żucia i trawienia
Źle ustawione zęby mogą powodować trudności w gryzieniu i przeżuwaniu pokarmów, co ma bezpośredni wpływ na proces trawienia. Dokładne rozdrabnianie jedzenia w jamie ustnej ułatwia pracę układu pokarmowego i poprawia przyswajanie składników odżywczych.
5. Poprawa wymowy
Niektóre wady zgryzu mogą wpływać na sposób, w jaki wymawiamy określone dźwięki, co prowadzi do wad wymowy. Korekcja ortodontyczna pomaga poprawić artykulację i zwiększa pewność siebie w mówieniu.
Czy leczenie ortodontyczne jest tylko dla dzieci i nastolatków?
Istnieje przekonanie, że aparat ortodontyczny to rozwiązanie przeznaczone głównie dla dzieci i młodzieży, jednak coraz więcej dorosłych decyduje się na jego założenie. Nowoczesna ortodoncja nie ma ograniczeń wiekowych – zęby można prostować na każdym etapie życia.

- Ortodontyczne leczenie dorosłych
Dzięki nowoczesnym metodom, takim jak alignery (np. Invisalign) czy estetyczne aparaty ceramiczne, osoby dorosłe mogą skorygować zgryz bez obaw o swój wygląd w trakcie leczenia. Współczesna ortodoncja jest bardziej komfortowa i dyskretna niż kiedyś, co sprawia, że coraz więcej dorosłych pacjentów decyduje się na poprawę swojego uśmiechu.
- Jakie są różnice między leczeniem dzieci i dorosłych?
- U dzieci leczenie przebiega szybciej, ponieważ ich kości są bardziej plastyczne.
- U dorosłych korekcja może trwać nieco dłużej, ale jest równie skuteczna.
- W niektórych przypadkach u dorosłych konieczne jest łączenie ortodoncji z zabiegami protetycznymi lub chirurgicznymi.
- Czy warto założyć aparat w dorosłym wieku?
Tak, ponieważ dobrze ustawione zęby nie tylko poprawiają wygląd, ale także zapobiegają problemom zdrowotnym, które mogą nasilać się z wiekiem. Warto pamiętać, że leczenie ortodontyczne to nie tylko kwestia estetyki, ale także długofalowa inwestycja w zdrowie jamy ustnej.
Wskazania do założenia aparatu ortodontycznego
Leczenie ortodontyczne jest stosowane nie tylko w celu poprawy estetyki uśmiechu, ale także w przypadku poważniejszych problemów zdrowotnych, takich jak nieprawidłowy zgryz, trudności w żuciu, ścieranie się zębów czy bóle stawów skroniowo-żuchwowych. Prawidłowe ustawienie zębów wpływa na funkcjonowanie całego układu stomatognatycznego, a zaniedbane wady mogą prowadzić do poważnych konsekwencji zdrowotnych.
1. Wady zgryzu – przodozgryz, tyłozgryz, zgryz krzyżowy, otwarty
Nieprawidłowy zgryz to jedno z najczęstszych wskazań do leczenia ortodontycznego. Wady te mogą powodować zarówno problemy funkcjonalne, jak i estetyczne.
Przodozgryz
- Charakteryzuje się wysunięciem dolnej szczęki względem górnej.
- Może powodować asymetrię twarzy, trudności w zamykaniu ust i problemy z żuciem.
- Nieleczony przodozgryz może prowadzić do nadmiernego ścierania zębów i bólu w stawach skroniowo-żuchwowych.
Tyłozgryz
- Występuje, gdy górna szczęka jest wysunięta do przodu względem dolnej.
- Jest jedną z najczęstszych wad zgryzu, która może prowadzić do problemów z prawidłowym oddychaniem, wymową i wyglądem twarzy.
- Osoby z tyłozgryzem często mają cofnięty podbródek i wydłużony profil twarzy.
Zgryz krzyżowy
- Powstaje, gdy zęby górne i dolne nie są prawidłowo dopasowane, a niektóre zęby dolne wysuwają się przed górne.
- Może dotyczyć pojedynczych zębów lub całej szczęki.
- Wpływa negatywnie na funkcję żucia i może prowadzić do asymetrii twarzy.
Zgryz otwarty
- Objawia się brakiem stykania się zębów górnych i dolnych, co tworzy szczelinę między nimi nawet przy zaciśniętej szczęce.
- Może być spowodowany nawykami, takimi jak ssanie kciuka w dzieciństwie lub długotrwałe używanie smoczka.
- Osoby ze zgryzem otwartym często mają trudności z wymową i przeżuwaniem pokarmów.
2. Stłoczenia i szpary między zębami
Nieprawidłowe ustawienie zębów może wynikać z ich stłoczenia lub nadmiernych przerw między nimi.
Stłoczenia zębów
- Powstają, gdy zęby nie mają wystarczającej przestrzeni do prawidłowego ustawienia się w łuku zębowym.
- Są częstą przyczyną trudności w utrzymaniu higieny jamy ustnej, ponieważ resztki pokarmowe łatwiej zalegają między ciasno ustawionymi zębami.
- Mogą prowadzić do zwiększonego ryzyka próchnicy, chorób dziąseł oraz nieestetycznego wyglądu uśmiechu.
Szpary między zębami (diastemy)
- Występują, gdy między zębami znajdują się widoczne przerwy.
- Często wynikają z niewłaściwego rozwoju szczęki, braku niektórych zębów lub różnicy w proporcjach zębów i kości szczęki.
- Niektóre osoby traktują diastemę jako cechę charakterystyczną, jednak w wielu przypadkach prowadzi ona do problemów z wymową i zgryzem.
3. Problemy z prawidłowym żuciem i wymową
Nieprawidłowe ustawienie zębów może utrudniać codzienne funkcje, takie jak jedzenie i mówienie.
Problemy z żuciem
- Nieprawidłowy zgryz powoduje nierównomierne rozłożenie nacisku na zęby, co może prowadzić do trudności w przeżuwaniu pokarmów.
- Może to skutkować nieprawidłowym trawieniem i problemami żołądkowymi.
- W skrajnych przypadkach osoby z nieprawidłowym zgryzem unikają niektórych rodzajów pokarmów, co może prowadzić do niedoborów żywieniowych.
Problemy z wymową
- Wady zgryzu mogą wpływać na sposób wymawiania niektórych głosek, szczególnie „s”, „z”, „cz” i „dż”.
- Może to prowadzić do wad wymowy, takich jak seplenienie lub niewyraźna artykulacja dźwięków.
- Korekcja ustawienia zębów często pomaga w poprawie mowy i wyraźniejszej artykulacji.
4. Nadmierne ścieranie się zębów oraz bóle stawów skroniowo-żuchwowych
Nieprawidłowy zgryz może powodować niekorzystne zmiany w strukturze zębów i stawów skroniowo-żuchwowych.
Ścieranie się zębów (bruksizm)
- Osoby z nieprawidłowym zgryzem często zgrzytają zębami (szczególnie podczas snu), co prowadzi do ich nadmiernego ścierania.
- Ścieranie szkliwa zwiększa ryzyko nadwrażliwości zębów, bólu i uszkodzeń.
- Może prowadzić do odsłonięcia miazgi zębowej i konieczności leczenia kanałowego.
Bóle stawów skroniowo-żuchwowych
- Wady zgryzu mogą powodować nierównomierny nacisk na stawy skroniowo-żuchwowe, co prowadzi do bólu, trzaskania w stawach oraz ograniczonej ruchomości żuchwy.
- Osoby z zaburzeniami w obrębie stawów skroniowo-żuchwowych mogą odczuwać bóle głowy, szyi, a nawet szumy uszne.
- Leczenie ortodontyczne może pomóc w wyrównaniu zgryzu i zmniejszeniu przeciążenia stawów.
Metamorfozy – aparat ortodontyczny przed i po
Przemiana I w naszym gabinecie
Przedstawiona metamorfoza pokazuje spektakularne efekty leczenia ortodontycznego. Na zdjęciu „przed” widoczne są znaczne stłoczenia zębów, nieprawidłowy zgryz oraz asymetria łuków zębowych. Zęby dolne i górne nie były właściwie ustawione, co mogło powodować trudności w żuciu i estetyczne niedoskonałości uśmiechu.
Zdjęcie „po” prezentuje wyraźną poprawę – zęby są wyrównane, łuki zębowe prawidłowo ukształtowane, a uśmiech bardziej harmonijny. Dzięki leczeniu ortodontycznemu pacjent zyskał nie tylko estetyczny uśmiech, ale także poprawioną funkcję żucia i zdrowie jamy ustnej. Tego rodzaju transformacja podkreśla skuteczność aparatu ortodontycznego w korygowaniu nawet poważnych wad zgryzu.

Przemiana II – efekty leczenia ortodontycznego
Przedstawione zdjęcia ukazują przebieg leczenia ortodontycznego z użyciem aparatu stałego. Na dolnym zdjęciu widoczny jest etap początkowy, w którym zęby wykazują nieregularne ustawienie, a zgryz nie jest prawidłowo dopasowany. Metalowe zamki i łuk ortodontyczny stopniowo wywierają nacisk na zęby, kierując je do pożądanej pozycji.
Na górnym zdjęciu można zauważyć poprawę w ułożeniu zębów – łuki są wyrównane, a kontakt między górnym i dolnym łukiem zębowym uległ poprawie. Proces ten świadczy o skuteczności aparatu w korygowaniu zgryzu i stopniowym osiąganiu harmonijnego ułożenia zębów. Dzięki regularnym wizytom kontrolnym i dostosowywaniu siły działania aparatu, pacjent może osiągnąć docelowy, estetyczny i funkcjonalny efekt końcowy.

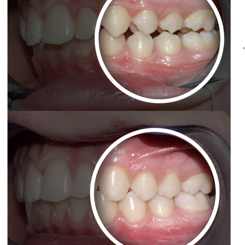
Przemiana III – efekty leczenia ortodontycznego
Zdjęcia przedstawiają efekty leczenia ortodontycznego, ukazując znaczącą poprawę w ustawieniu zębów i korekcji wady zgryzu.
Na górnym zdjęciu widać początkowy stan uzębienia – występuje nieprawidłowy kontakt między górnym i dolnym łukiem zębowym. Taki stan mógł powodować trudności w żuciu, problemy z higieną jamy ustnej oraz wpływać na estetykę uśmiechu.
Na dolnym zdjęciu widoczny jest efekt leczenia – zęby są wyrównane, łuk zębowy prawidłowo ukształtowany, a zgryz znacznie poprawiony. Takie rezultaty świadczą o skuteczności leczenia ortodontycznego, które nie tylko wpływa na wygląd, ale również poprawia funkcję narządu żucia oraz zdrowie jamy ustnej.

Aparat ortodontyczny przed i po – Podsumowanie
Leczenie ortodontyczne to skuteczna metoda poprawy zarówno estetyki, jak i funkcjonalności uzębienia. Dzięki odpowiednio dobranemu aparatowi możliwe jest skorygowanie wad zgryzu, wyrównanie łuków zębowych oraz eliminacja problemów wynikających ze stłoczenia lub nieprawidłowego ustawienia zębów. Regularne noszenie aparatu i wizyty kontrolne prowadzą do stopniowej, ale trwałej poprawy, co przekłada się na harmonijny uśmiech i zdrowie jamy ustnej. Po zakończeniu leczenia pacjenci mogą cieszyć się równymi, dobrze dopasowanymi zębami, które ułatwiają prawidłowe żucie i poprawiają wymowę.
Efekty leczenia nie ograniczają się jedynie do wyglądu – prawidłowy zgryz zapobiega nadmiernemu ścieraniu się zębów, zmniejsza ryzyko próchnicy i problemów ze stawami skroniowo-żuchwowymi. Współczesna ortodoncja oferuje wiele metod leczenia dostosowanych do indywidualnych potrzeb pacjenta, co sprawia, że leczenie jest coraz bardziej komfortowe i efektywne. Przemiana, jaka zachodzi w trakcie terapii, często znacząco podnosi pewność siebie i jakość życia pacjentów. Zdrowe, proste zęby to nie tylko piękny uśmiech, ale także lepsze samopoczucie i długoterminowa ochrona zdrowia jamy ustnej.
FAQ – Metamorfoza uśmiechu aparatem ortodontycznym
1. Na czym polega metamorfoza uśmiechu przy pomocy aparatu ortodontycznego?
To proces prostowania i korygowania ustawienia zębów za pomocą aparatu stałego lub zdejmowanego. Celem jest poprawa estetyki uśmiechu, funkcji zgryzu oraz zdrowia jamy ustnej.
2. Ile trwa leczenie aparatem ortodontycznym?
Czas noszenia aparatu zależy od stopnia wady zgryzu i rodzaju zastosowanego aparatu. Średnio leczenie trwa od 12 do 36 miesięcy, ale pierwsze efekty mogą być widoczne już po kilku miesiącach.
3. Czy aparat ortodontyczny jest bolesny?
Podczas zakładania aparatu pacjent nie odczuwa bólu, natomiast w ciągu pierwszych dni po każdej wizycie regulacyjnej może pojawić się lekki dyskomfort lub tkliwość zębów, który ustępuje samoistnie.
4. Czy każdy może założyć aparat ortodontyczny?
Tak, leczenie ortodontyczne można rozpocząć w niemal każdym wieku, o ile nie ma przeciwwskazań ze strony zdrowia zębów i dziąseł. Aparaty są stosowane zarówno u dzieci, nastolatków, jak i dorosłych.
5. Jakie są rodzaje aparatów ortodontycznych?
Dostępne są m.in. aparaty stałe metalowe, estetyczne (ceramiczne), samoligaturujące, a także aparaty ruchome i nakładki typu alignery (np. Invisalign). Wybór zależy od wady zgryzu, estetyki i budżetu pacjenta.
6. Czy podczas noszenia aparatu trzeba zmienić dietę?
Tak, zaleca się unikanie twardych, klejących się i bardzo słodkich produktów, które mogą uszkodzić aparat lub powodować odkładanie się osadów i próchnicy.
7. Jak często odbywają się wizyty kontrolne?
Zazwyczaj co 4–8 tygodni, w zależności od planu leczenia i rodzaju aparatu. Wizyty są niezbędne do regulacji i sprawdzania postępów.
8. Czy po zdjęciu aparatu efekty są trwałe?
Tak, pod warunkiem stosowania się do zaleceń ortodonty, w tym noszenia retainera (utrwalacza) po zakończeniu leczenia. Pomaga on utrzymać nowe ustawienie zębów.
9. Czy aparat ortodontyczny poprawia tylko estetykę uśmiechu?
Nie. Oprócz poprawy wyglądu aparaty korygują wady zgryzu, poprawiają funkcję żucia, mogą zapobiegać nadmiernemu ścieraniu się zębów i problemom ze stawami skroniowo-żuchwowymi.
10. Czy noszenie aparatu wpływa na higienę jamy ustnej?
Tak, wymaga większej staranności w czyszczeniu zębów, używania szczoteczek międzyzębowych, irygatora oraz regularnych wizyt higienizacyjnych, aby uniknąć próchnicy i stanów zapalnych dziąseł.
Opublikowano: 11.03.2025
Zaktualizowano: 01.09.2025
