Szpara między zębami – niedoskonałość czy znak rozpoznawczy?
Dla jednych to drobna wada, którą chcą jak najszybciej ukryć. Dla innych – charakterystyczny element uśmiechu, który podkreśla indywidualność. Szpara między zębami, znana też jako diastema, może być zarówno estetycznym „problemem”, jak i wyrazem naturalnego piękna. Niezależnie od tego, do której grupy należysz, warto zrozumieć, skąd bierze się ta przerwa w uzębieniu, kiedy wymaga leczenia, a kiedy może pozostać bezpieczną cechą uśmiechu.
W tym artykule wyjaśniamy, jakie są rodzaje szpar między zębami, co je powoduje, jak wpływają na zdrowie jamy ustnej i jakie masz możliwości, jeśli zdecydujesz się na ich korektę.
Szpara między zębami – czym jest i czy trzeba się jej obawiać?
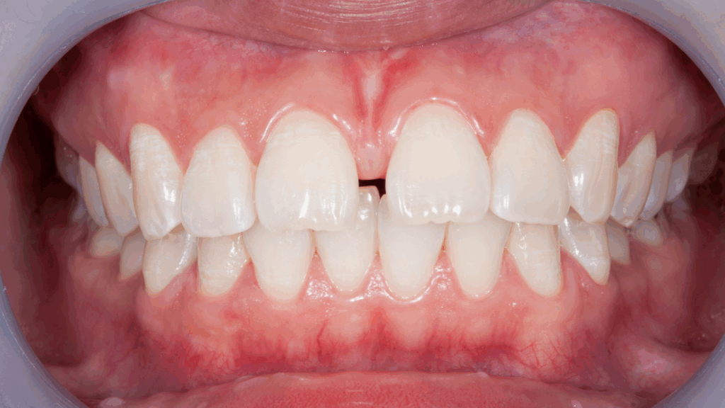
Szpara między zębami, najczęściej widoczna między górnymi jedynkami, to zjawisko znane stomatologii jako diastema. Może występować zarówno u dzieci, jak i u dorosłych, a jej rozmiar i położenie bywają różne – od ledwie widocznych prześwitów po wyraźne przerwy między zębami przednimi, bocznymi, a nawet trzonowcami. Choć najczęściej traktowana jest jako kwestia estetyczna, w niektórych przypadkach może być objawem głębszych problemów ortodontycznych lub rozwojowych.
Nie każda szpara między zębami wymaga leczenia. U niektórych osób jest naturalną cechą anatomiczną – wynikającą np. z dysproporcji między wielkością zębów a szerokością szczęki – i nie ma negatywnego wpływu na zdrowie jamy ustnej. Zdarza się również, że to tzw. diastema fizjologiczna, która u dzieci zanika samoistnie po wyrośnięciu stałych kłów.
Jednak w wielu przypadkach szpara może prowadzić do komplikacji – resztki jedzenia łatwiej zalegają w szczelinie, co sprzyja próchnicy i zapaleniom dziąseł. Może również wpływać na wymowę, szczególnie głosek syczących i szumiących („s”, „sz”, „cz”), co bywa problematyczne u dzieci uczących się poprawnej artykulacji. U dorosłych szpara często postrzegana jest jako defekt estetyczny, wpływający na pewność siebie i relacje społeczne.
Warto więc potraktować szparę między zębami nie tylko jako kwestię wyglądu, ale też potencjalny sygnał do kontroli u stomatologa lub ortodonty. Nawet jeśli nie przeszkadza w codziennym życiu, dobrze jest poznać jej przyczynę i dowiedzieć się, czy może wpłynąć na zdrowie jamy ustnej w przyszłości.
Rodzaje szpar między zębami – nie każda wygląda tak samo
Szpara między zębami może przybierać różne formy – zarówno pod względem umiejscowienia, jak i przyczyny powstania. Najczęściej używane w stomatologii określenie „diastema” odnosi się do przerwy między górnymi siekaczami przyśrodkowymi, ale nie jest to jedyny wariant. Z punktu widzenia leczenia i diagnostyki kluczowe jest rozróżnienie rodzaju szpary – ponieważ od tego zależy wybór metody postępowania.

Poniżej przedstawiamy najczęstsze rodzaje szpar między zębami:
1. Diastema fizjologiczna
Występuje u dzieci w wieku przedszkolnym i wczesnoszkolnym, zazwyczaj między 6. a 9. rokiem życia. Jest wynikiem naturalnego rozwoju łuku zębowego – zęby mleczne są mniejsze niż ich stałe odpowiedniki, a szczęka wciąż rośnie. W większości przypadków diastema fizjologiczna zamyka się samoistnie po wyrżnięciu stałych kłów i nie wymaga leczenia.
2. Diastema prawdziwa
To trwała przerwa między górnymi jedynkami, najczęściej spowodowana obecnością przerośniętego lub zbyt nisko przyczepionego wędzidełka wargi górnej. Może towarzyszyć prawidłowemu zgryzowi, ale często wiąże się z innymi wadami ortodontycznymi. Leczenie wymaga często zabiegu podcięcia wędzidełka i/lub zastosowania aparatu ortodontycznego.
3. Diastema rzekoma
Szpara powstaje wtórnie – najczęściej jako rezultat braku zawiązka siekacza przyśrodkowego, zęba zatrzymanego, patologii przyzębia lub urazu. Często dotyczy osób dorosłych i wiąże się z asymetrią łuku zębowego. W tym przypadku kluczowa jest dokładna diagnostyka radiologiczna, a leczenie może obejmować ortodoncję, implanty lub odbudowę protetyczną.
4. Szpary zlokalizowane w innych miejscach
Choć najczęściej mówi się o diastemie między jedynkami, przerwy mogą też występować:
- między dalszymi siekaczami,
- między kłami a przedtrzonowcami,
- między trzonowcami,
- w wielu miejscach jednocześnie – co może wskazywać na dysproporcje szczękowo-zębowe, parafunkcje (np. wypychanie języka) lub choroby przyzębia.
5. Szpara zębowa w uzębieniu sztucznym lub poekstrakcyjnym
W przypadku braku zębów, np. po ekstrakcji lub w protezach, mogą pojawić się widoczne luki. Niewypełniona przestrzeń prowadzi do przesuwania się pozostałych zębów i zaburzenia zgryzu. W takich przypadkach konieczna jest rekonstrukcja – implant, most lub uzupełnienie protetyczne.
Najczęstsze przyczyny powstawania szpar między zębami
Szpara między zębami, choć często zauważalna gołym okiem, może mieć złożone i różnorodne przyczyny. U niektórych osób jest wynikiem naturalnych uwarunkowań anatomicznych, u innych – efektem nabytych nawyków, zmian patologicznych lub utraty zębów. Prawidłowe rozpoznanie przyczyny powstania szpary jest kluczowe nie tylko dla wyboru odpowiedniego leczenia, ale także dla zapobiegania nawrotom po zakończeniu terapii.
Poniżej przedstawiamy najczęstsze przyczyny powstawania szpar między zębami:
1. Czynniki genetyczne
Genetyka odgrywa istotną rolę w kształcie łuków zębowych oraz proporcji między wielkością zębów a przestrzenią w jamie ustnej. Jeżeli zęby są zbyt małe w stosunku do szerokości szczęki, naturalną konsekwencją będzie powstanie przerw pomiędzy nimi. W takich przypadkach szpara może występować rodzinnie – i nie musi świadczyć o patologii, choć może być wskazaniem do korekty estetycznej.
2. Nieprawidłowy zgryz
Wady zgryzu, takie jak zgryz otwarty, tyłozgryz czy protruzja, mogą sprzyjać powstawaniu szpar między zębami. Zmiany w ustawieniu szczęk i siłach nacisku w jamie ustnej powodują rozchodzenie się zębów, szczególnie w odcinku przednim. Tego typu przyczyny najczęściej wymagają leczenia ortodontycznego.
3. Przerost lub nieprawidłowe położenie wędzidełka wargi górnej
Zbyt nisko przyczepione lub przerośnięte wędzidełko wargi górnej (czyli pasmo tkanki łącznej między wargą a dziąsłem) może „wypychać” zęby jedynki na boki, tworząc klasyczną diastemę prawdziwą. W takim przypadku leczenie wymaga zwykle chirurgicznego podcięcia wędzidełka (frenulektomii), a następnie korekty ortodontycznej.
4. Utrata zęba i przesuwanie się zębów sąsiednich
Jeśli pacjent traci ząb – szczególnie boczny – a luka nie zostaje uzupełniona, zęby sąsiednie mają tendencję do przemieszczania się w kierunku pustej przestrzeni. W efekcie mogą powstawać nowe szpary w łuku zębowym, które nie były obecne wcześniej. To częsty problem u dorosłych z zaniedbaną protetyką.
5. Parafunkcje – nieprawidłowe nawyki
Niektóre nawyki – szczególnie u dzieci – mogą wpływać na ustawienie zębów i powstawanie szpar:
- ssanie kciuka, smoczka lub dolnej wargi,
- wysuwanie języka między zęby (tzw. infantylne połykanie),
- obgryzanie paznokci lub przedmiotów (np. długopisów).
Parafunkcje te wywierają nienaturalny nacisk na zęby i mogą doprowadzić do ich rozchodzenia się.
6. Choroby przyzębia (np. paradontoza)
W zaawansowanych przypadkach chorób dziąseł i kości przyzębia dochodzi do zaniku tkanek podtrzymujących zęby. Zęby zaczynają się rozchodzić, chwiać i przemieszczać. Jednym z pierwszych zauważalnych objawów bywa właśnie powiększająca się szpara między zębami, szczególnie w odcinku przednim.
7. Brak zawiązka zęba lub ząb zatrzymany
Czasami szpara wynika z wady rozwojowej – zawiązek zęba po prostu się nie wykształcił albo ząb nie wyrósł mimo obecności zawiązka. Taka „niewidzialna luka” powoduje, że sąsiednie zęby przesuwają się, tworząc widoczne przerwy. Leczenie może wymagać współpracy ortodonty i chirurga stomatologicznego.
Czy szpara między zębami wpływa na zdrowie jamy ustnej?
Szpara między zębami bywa postrzegana głównie jako problem estetyczny, ale w rzeczywistości może mieć także konsekwencje zdrowotne – zwłaszcza wtedy, gdy jest szeroka, utrzymuje się długotrwale lub wynika z wady zgryzu bądź chorób przyzębia. Choć nie każda przerwa między zębami prowadzi do komplikacji, warto zrozumieć, w jaki sposób może wpływać na funkcjonowanie całej jamy ustnej.
Jednym z częstych problemów związanych z obecnością szpary – szczególnie w odcinku przednim – jest tendencja do gromadzenia się resztek pokarmowych w przestrzeni między zębami. Nawet przy prawidłowej higienie domowej, większa luka stwarza idealne warunki dla namnażania się bakterii, co może prowadzić do próchnicy na powierzchniach stycznych oraz do zapaleń dziąseł. Z czasem może to skutkować przewlekłym stanem zapalnym, który obniża poziom dziąseł i prowadzi do utraty przyczepu, czyli pierwszego etapu choroby przyzębia.
Wymowa głosek
Kolejnym aspektem, który warto uwzględnić, jest wpływ szpary między zębami na wymowę. Choć nie każda przerwa powoduje trudności artykulacyjne, to w wielu przypadkach może ona zaburzać prawidłową emisję głosek syczących, takich jak „s”, „z”, „ś”, „ź”. Problem ten dotyczy przede wszystkim dzieci, ale także dorosłych, którzy z powodu nieprawidłowego ułożenia języka między zębami wykształcili nieprawidłowe wzorce artykulacyjne. W takich przypadkach często konieczna jest współpraca ortodonty i logopedy.
Funkcjonowanie zgryzu
Nie można też pominąć wpływu szpar na mechanikę zgryzu. Zęby pełnią nie tylko funkcję estetyczną, ale również odgrywają ważną rolę w prawidłowym rozdrabnianiu pokarmów, utrzymywaniu równowagi mięśniowej i stabilizacji całego łuku zębowego. Gdy między zębami brakuje kontaktu punktowego, siły żucia mogą rozkładać się nierównomiernie, co z czasem prowadzi do przeciążeń, starć zębów, a nawet bólu stawów skroniowo-żuchwowych. Długotrwała obecność szpary może więc wpłynąć nie tylko na stan konkretnego zęba, ale na funkcjonowanie całej jamy ustnej.
Aspekt psychologiczny
Warto również podkreślić aspekt psychologiczny. Dla wielu osób szpara między zębami stanowi powód do wstydu, obniżonej samooceny czy unikania uśmiechu. Choć zdrowie psychiczne nie zawsze jest pierwszym skojarzeniem w kontekście stomatologii, to nie da się zaprzeczyć, że estetyka uśmiechu ma wpływ na pewność siebie i jakość życia społecznego. W takich przypadkach, nawet jeśli szpara nie powoduje fizycznych dolegliwości, może być uzasadnieniem do podjęcia leczenia z powodów psychologicznych lub wizerunkowych.
Podsumowując – nie każda szpara między zębami musi być leczona, ale każda powinna być oceniona indywidualnie. Gdy towarzyszą jej trudności higieniczne, wady wymowy, dyskomfort zgryzowy lub obniżone samopoczucie, warto skonsultować się ze stomatologiem lub ortodontą. Dzięki nowoczesnym metodom leczenia można skutecznie zamknąć szpary i jednocześnie zadbać o estetykę, zdrowie i komfort życia pacjenta.
Szpara między zębami u dzieci – naturalny etap czy powód do niepokoju?
Szpara między zębami u dzieci to zjawisko, które bardzo często budzi niepokój rodziców, szczególnie gdy pojawia się między górnymi jedynkami. Tymczasem w wielu przypadkach jest to całkowicie naturalny i przejściowy element rozwoju uzębienia. Tzw. diastema fizjologiczna, czyli przerwa między przednimi zębami mlecznymi lub pierwszymi stałymi, występuje zazwyczaj między 6. a 9. rokiem życia. Jest efektem rosnącej szczęki i pojawiania się zębów stałych, które potrzebują więcej miejsca niż ich mleczne odpowiedniki. W tym okresie rozwojowym przestrzenie między zębami są czymś zupełnie normalnym – organizm „przygotowuje się” na większe zęby, a przerwy te zazwyczaj samoistnie się zamykają po wyrznięciu stałych kłów.

Asymetryczność
Jednak nie każda szpara powinna być zignorowana. Jeśli przerwa między jedynkami jest bardzo szeroka (powyżej 2 mm), asymetryczna, utrzymuje się mimo pełnego uzębienia stałego lub towarzyszy jej widoczne, nisko przyczepione wędzidełko wargi górnej, warto skonsultować się z ortodontą. W takich przypadkach może to być objaw tzw. diastemy prawdziwej, która nie zniknie samoistnie i będzie wymagać leczenia – najpierw chirurgicznego (podcięcie wędzidełka), a następnie ortodontycznego. Podobnie wygląda sytuacja, gdy dziecko ma utrwalone parafunkcje, takie jak ssanie kciuka, wypychanie języka między zęby lub obgryzanie przedmiotów – wszystkie te nawyki wpływają na ustawienie zębów i mogą powodować powstawanie przerw w łuku zębowym.
Czasami szpara między zębami wiąże się z trudnościami w artykulacji, zwłaszcza przy głoskach syczących i szumiących. Wówczas do leczenia ortodontycznego należy dołączyć wsparcie logopedy, który pomoże dziecku wykształcić prawidłowe wzorce wymowy i wyeliminować błędne nawyki językowe. Warto pamiętać, że leczenie w młodym wieku jest nie tylko skuteczniejsze, ale też mniej inwazyjne niż u dorosłych – łuki zębowe są wtedy jeszcze plastyczne i lepiej reagują na korektę.
Pośpiech zbędny
Z drugiej strony, nie należy spieszyć się z leczeniem, jeśli szpara mieści się w granicach fizjologii, nie towarzyszą jej żadne nieprawidłowości, a zgryz rozwija się prawidłowo. Cierpliwa obserwacja, regularne wizyty kontrolne u dentysty i ortodonty oraz właściwa higiena to najrozsądniejsze podejście. Każde dziecko rozwija się we własnym tempie, a wiele przypadków niewielkich przerw między zębami zamyka się samoistnie bez potrzeby interwencji.
Podsumowując: szpara między zębami u dziecka zazwyczaj nie jest powodem do niepokoju, ale jej wygląd i ewolucję warto obserwować. Wczesna diagnoza pozwala szybko wychwycić ewentualne nieprawidłowości i zapobiec poważniejszym problemom w przyszłości. Ostateczną decyzję o potrzebie leczenia powinien zawsze podejmować specjalista, opierając się na badaniu klinicznym i analizie rozwoju uzębienia.
Diagnoza – jak dentysta ocenia szparę między zębami?
Pojawienie się szpary między zębami, szczególnie w odcinku przednim, może być niepokojące, zwłaszcza gdy nie towarzyszy jej naturalna wymiana uzębienia lub gdy utrzymuje się mimo pełnego łuku zębowego. Aby określić, czy jest to stan fizjologiczny, wymagający jedynie obserwacji, czy też problem wymagający leczenia, konieczna jest wizyta u stomatologa lub ortodonty. Diagnoza opiera się nie tylko na oględzinach, ale również na szeregu badań dodatkowych i analizie proporcji twarzy oraz ustawienia całego zgryzu.
Etapy diagnozy
Pierwszym krokiem jest dokładne badanie kliniczne w gabinecie. Lekarz ocenia nie tylko samą szparę – jej szerokość, położenie, symetrię – ale również kondycję dziąseł, ruchomość zębów, obecność nawyków parafunkcyjnych oraz sposób zwarcia. Istotna jest również kontrola obecności i przyczepu wędzidełka wargi górnej – jego nieprawidłowa budowa bywa jedną z najczęstszych przyczyn trwałej diastemy. W trakcie tej oceny lekarz zwraca uwagę na funkcjonowanie języka, ułożenie warg i sposób oddychania pacjenta. W przypadku dzieci kluczowe jest także rozpoznanie, czy mamy do czynienia z etapem rozwojowym, czy już z patologią ortodontyczną.
Kolejnym elementem diagnozy są badania obrazowe – najczęściej zdjęcie rentgenowskie pantomograficzne (RTG) lub punktowe. Pozwalają one ocenić, czy w miejscu szpary brakuje zawiązka zęba, czy ząb nie jest zatrzymany, jak wyglądają korzenie zębów, czy nie dochodzi do zaniku kości oraz czy obecna jest jakaś zmiana strukturalna, np. torbiel lub nadliczbowy ząb, który może wpływać na ustawienie pozostałych. U starszych pacjentów oraz w przypadkach wymagających precyzyjnego planowania leczenia ortodontycznego stosuje się również zdjęcia cefalometryczne lub skany 3D.
Istotną rolę odgrywa też analiza zgryzu i zwarcia, czyli sposób, w jaki zęby górne i dolne kontaktują się ze sobą w czasie żucia, mówienia czy spoczynku. Nawet pozornie drobna szpara może zaburzać prawidłowy układ sił żucia, prowadząc do przeciążeń w innych partiach łuku zębowego. Ocena zgryzu pozwala także stwierdzić, czy problem ogranicza się do jednego miejsca, czy jest częścią szerszego zaburzenia – np. zgryzu otwartego, protruzji lub nadmiernej rotacji zębów.
Analiza wariantów:
Po zebraniu wszystkich informacji lekarz omawia z pacjentem możliwe scenariusze – czy szpara wymaga leczenia, jakie są dostępne metody, ile może trwać terapia oraz jakie są szanse na trwały efekt. W przypadku dzieci decyzję o rozpoczęciu leczenia często odkłada się do momentu zakończenia wymiany zębów, o ile nie występują inne czynniki pogłębiające problem. U dorosłych – zwłaszcza gdy szpara wpływa na estetykę uśmiechu lub zdrowie przyzębia – zaleca się szybkie wdrożenie terapii, aby zapobiec dalszym zmianom.
Warto podkreślić, że każda szpara między zębami ma swoją indywidualną przyczynę i nie istnieje jedno uniwersalne rozwiązanie. Dlatego kluczowa jest personalizacja diagnozy i leczenia, uwzględniająca nie tylko obraz kliniczny, ale także potrzeby estetyczne, wiek pacjenta, tryb życia i oczekiwania względem efektu końcowego.
Leczenie ortodontyczne – jak zamknąć szparę między zębami?
Leczenie ortodontyczne to najczęściej wybierana i najskuteczniejsza metoda zamykania szpar między zębami, szczególnie w przypadkach, gdy przerwa wynika z nieprawidłowego ustawienia zębów, wad zgryzu lub niewłaściwej proporcji pomiędzy rozmiarem zębów a szerokością łuku zębowego. Ortodoncja nie tylko poprawia estetykę uśmiechu, ale także przywraca prawidłową funkcję zgryzu, co ma ogromne znaczenie dla długofalowego zdrowia jamy ustnej.

Szczegółowa diagnoza
Leczenie ortodontyczne rozpoczyna się od szczegółowej diagnozy – zarówno klinicznej, jak i radiologicznej. Ortodonta ocenia przyczynę powstania szpary, analizuje zgryz, proporcje twarzy i kształt łuków zębowych. Na podstawie zebranych danych opracowuje indywidualny plan leczenia, który uwzględnia nie tylko samo zamknięcie przerwy, ale również stabilizację efektów i zapobieganie nawrotom. Bardzo ważne jest zidentyfikowanie czynników, które mogłyby powodować powtórne rozchodzenie się zębów – np. nieprawidłowe wędzidełko, nawyki językowe lub choroby przyzębia – i ich równoczesne wyeliminowanie.
Aparaty ruchome
W przypadku dzieci i młodzieży najczęściej stosuje się aparaty ruchome, które mają za zadanie nie tylko przesuwać zęby, ale też wpływać na rozwój łuków zębowych. U dorosłych pacjentów podstawowym narzędziem są aparaty stałe – metalowe lub estetyczne – które działają precyzyjnie i skutecznie, nawet w przypadku trudnych wad. Aparat przesuwa zęby stopniowo, zamykając szparę w sposób kontrolowany i bezpieczny dla otaczających tkanek. W wielu przypadkach konieczne jest również zastosowanie dodatkowych elementów, takich jak sprężynki, łańcuszki elastyczne czy miniimplanty ortodontyczne, które wspomagają przesuwanie zębów w określonym kierunku.
System Invisalign
Alternatywą dla tradycyjnych aparatów stałych są przezroczyste nakładki ortodontyczne – systemy typu Invisalign. To rozwiązanie szczególnie popularne wśród dorosłych pacjentów, którzy szukają mniej widocznej metody leczenia. Nakładki projektowane są indywidualnie i wymieniane co kilka tygodni, przesuwając zęby zgodnie z zaplanowaną trajektorią. Choć leczenie nakładkami ma swoje ograniczenia – zwłaszcza przy bardziej zaawansowanych wadach – świetnie sprawdza się przy zamykaniu niewielkich i umiarkowanych szpar między zębami.
Czas trwania leczenia ortodontycznego zależy od rozmiaru szpary, wieku pacjenta, rodzaju zastosowanego aparatu oraz współpracy ze strony pacjenta. W prostych przypadkach może to być kilka miesięcy, w bardziej skomplikowanych – rok lub dłużej. Kluczowe znaczenie ma regularne noszenie aparatu, stosowanie się do zaleceń ortodonty i utrzymywanie wzorowej higieny jamy ustnej przez cały okres leczenia.
Po zakończeniu terapii niezwykle ważna jest faza retencji, czyli stabilizacji uzyskanych efektów. Zęby, które zostały przesunięte, mają naturalną tendencję do powrotu do wcześniejszego położenia, dlatego pacjent otrzymuje retainer – aparat retencyjny w postaci nakładki lub cienkiego drutu przyklejonego od strony językowej zębów. Regularne kontrole i stosowanie retainera zgodnie z zaleceniami lekarza pozwalają utrzymać nowy uśmiech na lata.
Leczenie protetyczne i estetyczne – alternatywy dla ortodoncji
Choć leczenie ortodontyczne jest najczęściej zalecaną metodą zamykania szpar między zębami, nie jest jedyną dostępną opcją. W wielu przypadkach – zwłaszcza gdy pacjentowi zależy na szybkim efekcie estetycznym lub gdy nie ma możliwości lub chęci noszenia aparatu ortodontycznego – lekarz może zaproponować leczenie protetyczne lub estetyczne. Są to rozwiązania, które nie wpływają na ustawienie zębów w łuku, ale pozwalają optycznie i funkcjonalnie zamknąć przerwę między zębami, poprawiając wygląd uśmiechu i komfort pacjenta.
Bonding
Jedną z najprostszych metod jest bonding, czyli estetyczna odbudowa zęba przy użyciu materiału kompozytowego. Stomatolog modeluje brzegi sąsiadujących zębów, aby zamknąć przerwę między nimi, nadając im odpowiedni kształt i proporcje. Bonding jest zabiegiem nieinwazyjnym, wykonywanym zazwyczaj podczas jednej wizyty, a jego efekt widoczny jest natychmiast. Materiał stosowany do bondingu dobierany jest kolorystycznie do naturalnych zębów, dzięki czemu efekt końcowy jest bardzo estetyczny. Metoda ta jest szczególnie popularna przy małych i średnich szparach oraz w sytuacjach, gdy pacjent oczekuje szybkiej poprawy wyglądu bez długotrwałego leczenia ortodontycznego.
Licówki porcelanowe
Kolejną opcją są licówki porcelanowe – cienkie płatki ceramiki naklejane na przednią powierzchnię zębów, które pozwalają uzyskać idealny kształt, kolor i ustawienie zębów. Licówki wymagają minimalnego oszlifowania szkliwa, dlatego są traktowane jako rozwiązanie półinwazyjne. Ich największą zaletą jest trwałość i odporność na przebarwienia – dobrze wykonane licówki mogą służyć przez wiele lat, zachowując swój wygląd. Są one często wybierane przez pacjentów, którzy oprócz zamknięcia szpary chcą także poprawić kolor, kształt lub długość zębów. Licówki sprawdzają się najlepiej u osób z równym zgryzem i dobrym stanem przyzębia.
Korony i mosty
W przypadku większych szpar lub dodatkowych problemów – takich jak starty zęby, ich pęknięcia, przebarwienia czy nieprawidłowe położenie – rozwiązaniem mogą być korony protetyczne. Korona to pełna rekonstrukcja zęba, która zakrywa jego całą widoczną część. W przeciwieństwie do licówek korona nie tylko poprawia estetykę, ale także wzmacnia ząb strukturalnie. W leczeniu szpar korony stosuje się zwykle na sąsiednich zębach, modelując ich kształt tak, by przerwa została zlikwidowana. Czasami konieczne jest wcześniejsze leczenie kanałowe lub przygotowanie podbudowy protetycznej, dlatego zabieg ten wymaga więcej wizyt i planowania niż bonding czy licówki.
W niektórych sytuacjach – szczególnie gdy szpara jest efektem brakującego zęba – konieczne jest wykonanie mostu protetycznego lub implantu zębowego. Most opiera się na zębach sąsiednich, które zostają oszlifowane i stanowią filary dla uzupełnienia protetycznego. Implant natomiast to rozwiązanie najbardziej zaawansowane – polega na wszczepieniu tytanowego korzenia w miejsce brakującego zęba i odbudowie zęba na stałe. Choć procedura jest bardziej złożona, zapewnia najwyższy poziom estetyki i funkcjonalności oraz zapobiega dalszemu przemieszczaniu się zębów.
Wybór odpowiedniej metody leczenia estetycznego lub protetycznego zawsze powinien być poprzedzony dokładną konsultacją, badaniem stanu przyzębia, oceną proporcji zębów oraz analizą potrzeb i oczekiwań pacjenta. W przypadku małych szpar najlepszym rozwiązaniem może być bonding lub licówki, natomiast w sytuacjach bardziej złożonych konieczne może być leczenie kombinowane: ortodontyczne i protetyczne. Zdarza się również, że pacjent rozpoczyna leczenie ortodontyczne, a następnie kończy je odbudową estetyczną dla uzyskania idealnych proporcji uśmiechu.
Podsumowując, alternatywy dla ortodoncji pozwalają skutecznie i estetycznie zamknąć szpary między zębami, a przy tym skracają czas leczenia i minimalizują dyskomfort. To rozwiązania szczególnie atrakcyjne dla osób dorosłych, które nie chcą lub nie mogą nosić aparatu, ale jednocześnie oczekują szybkiej poprawy wyglądu uśmiechu. Kluczowe jest jednak dobranie metody indywidualnie – tak, by efekt był nie tylko estetyczny, ale i trwały.
Czy można zapobiec powstawaniu szpar między zębami?
Powstawanie szpar między zębami nie zawsze da się całkowicie wyeliminować, ponieważ w wielu przypadkach ich przyczyną są uwarunkowania genetyczne, wady wrodzone lub naturalne procesy rozwojowe – zwłaszcza u dzieci. Istnieje jednak szereg działań profilaktycznych, które mogą znacząco ograniczyć ryzyko pojawienia się niepożądanych przerw w uzębieniu lub zapobiec ich pogłębianiu się w czasie.

Jednym z najważniejszych elementów profilaktyki jest dbałość o pełne i zdrowe uzębienie przez całe życie. Utrata nawet jednego zęba – szczególnie w bocznych odcinkach łuku – może prowadzić do przesuwania się pozostałych zębów i powstawania nowych, wtórnych szpar. Dlatego tak istotne jest szybkie uzupełnianie braków zębowych, np. za pomocą mostów, implantów lub protez. Im dłużej luka pozostaje niezrekonstruowana, tym większe ryzyko przesunięcia zębów i zaburzenia całego zgryzu.
Zapobieganie chorobom
Równie ważne jest zapobieganie chorobom przyzębia, takim jak zapalenie dziąseł i paradontoza. Choroby te prowadzą do utraty przyczepu dziąsłowego i kości, w efekcie czego zęby stają się bardziej ruchome, przemieszczają się i tworzą szpary – najczęściej w przednim odcinku łuku zębowego. Profilaktyka przyzębia to przede wszystkim dokładna codzienna higiena jamy ustnej, regularne wizyty higienizacyjne oraz unikanie palenia tytoniu, które znacząco zwiększa ryzyko chorób dziąseł.
Regularne kontrole
U dzieci kluczowe znaczenie ma kontrola rozwoju uzębienia i eliminacja parafunkcji, takich jak ssanie kciuka, smoczka, gryzienie ołówków czy wypychanie języka między zęby. Nawyki te, jeśli utrwalą się w pierwszych latach życia, mogą powodować trwałe zmiany w ustawieniu zębów i prowadzić do powstania szpar lub wad zgryzu. Wczesna interwencja ortodontyczna, a w niektórych przypadkach także wsparcie logopedy, pozwala wyeliminować te czynniki jeszcze przed pojawieniem się problemu.
Nie można też zapominać o regularnych wizytach kontrolnych u stomatologa i ortodonty, najlepiej raz na 6 miesięcy. Pozwalają one na wczesne wykrycie wszelkich nieprawidłowości – zarówno w ułożeniu zębów, jak i w ich relacji z kością i dziąsłami. Dzięki temu można wdrożyć leczenie zanim szpara się pojawi lub zanim stanie się problemem wymagającym długotrwałej terapii.
Istotnym elementem zapobiegania powstawaniu szpar jest również prawidłowe leczenie ortodontyczne zakończone skuteczną retencją. U pacjentów, którzy mieli już przeprowadzone leczenie ortodontyczne, szpara może pojawić się ponownie, jeśli nie stosują się do zaleceń dotyczących aparatów retencyjnych. Retencja – w formie nakładek lub cienkiego drutu retencyjnego – pozwala utrzymać zęby w nowym położeniu i zapobiega ich ponownemu rozchodzeniu się.
FAQ – najczęstsze pytania o szparę między zębami
Wielu pacjentów, którzy zauważają u siebie szparę między zębami, ma podobne pytania: czy to problem zdrowotny, jak można go leczyć i czy sytuacja może się pogorszyć. Poniżej zebraliśmy najczęściej zadawane pytania, które pomagają uporządkować wiedzę i rozwiać najczęstsze wątpliwości.
Czy każda szpara między zębami wymaga leczenia?
Nie. W wielu przypadkach – zwłaszcza u dzieci – szpara jest naturalnym etapem rozwoju i zamyka się samoistnie wraz z wyrzynaniem stałych zębów. U dorosłych również nie każda przerwa wymaga interwencji. O potrzebie leczenia decyduje przyczyna powstania szpary, jej rozmiar, wpływ na zdrowie zgryzu, higienę i estetykę oraz indywidualne oczekiwania pacjenta.
Czy szpara między zębami może się sama zamknąć?
Tak, ale dotyczy to głównie dzieci w okresie uzębienia mieszanego. Tzw. diastema fizjologiczna występuje często między 6. a 9. rokiem życia i zwykle znika po pojawieniu się stałych kłów. U osób dorosłych samoistne zamknięcie szpary jest rzadkie – najczęściej wymaga leczenia ortodontycznego lub estetycznego.
Co powoduje, że szpara między zębami się powiększa?
Najczęściej przyczyną pogłębiania się przerwy są choroby przyzębia (np. paradontoza), utrata sąsiednich zębów, nieprawidłowe nawyki (np. wypychanie języka) lub brak retencji po leczeniu ortodontycznym. W niektórych przypadkach powiększająca się szpara może być objawem postępującej wady zgryzu.
Czy leczenie ortodontyczne to jedyna opcja?
Nie. W zależności od przyczyny i oczekiwań pacjenta dostępne są także inne metody – m.in. bonding, licówki porcelanowe, korony czy mosty. Każda z tych metod ma swoje wskazania, ograniczenia i efekty, dlatego wybór rozwiązania powinien być zawsze poprzedzony dokładną konsultacją.
Czy szpara między zębami może wrócić po leczeniu?
Tak – jeśli nie zostanie zastosowana odpowiednia retencja, czyli zabezpieczenie efektów leczenia. Po zdjęciu aparatu ortodontycznego zęby mają naturalną tendencję do powrotu do pierwotnego położenia. Dlatego tak ważne jest noszenie retainera zgodnie z zaleceniami lekarza oraz regularne wizyty kontrolne.
Czy szpara między zębami wpływa na mowę?
Może – zwłaszcza gdy przerwa dotyczy przednich zębów i towarzyszy jej nieprawidłowa praca języka. W takich przypadkach mogą występować trudności z artykulacją głosek syczących i szumiących. Współpraca ortodonty z logopedą pozwala skutecznie skorygować zarówno ułożenie zębów, jak i sposób mówienia.
Czy szpara między zębami to coś, czego trzeba się wstydzić?
Absolutnie nie. Dla wielu osób jest to element indywidualnego wyglądu, który może być nawet atutem. Znane osoby publiczne – modelki, aktorzy czy artyści – często celowo nie zamykają diastemy, traktując ją jako znak rozpoznawczy. Ostateczna decyzja o leczeniu powinna wynikać z własnych potrzeb i komfortu psychicznego, a nie presji otoczenia.
Podsumowanie: Szpara między zębami – estetyka, zdrowie i możliwości leczenia
Szpara między zębami, choć często kojarzona wyłącznie z kwestią estetyki, w rzeczywistości może mieć znacznie szerszy kontekst – zdrowotny, funkcjonalny i psychologiczny. W wielu przypadkach – szczególnie u dzieci – jej obecność jest całkowicie naturalna i wynika z fizjologii wzrostu oraz przygotowania łuków zębowych do wyrzynania stałych zębów. Taka diastema najczęściej zanika samoistnie, nie pozostawiając żadnych śladów ani konieczności leczenia. Jednak gdy przerwa jest zbyt szeroka, długo się utrzymuje lub towarzyszą jej inne nieprawidłowości, warto poddać ją specjalistycznej ocenie.
U dorosłych szpara między zębami może być efektem nie tylko budowy anatomicznej, ale również chorób przyzębia, braków zębowych, parafunkcji językowych czy nieprawidłowego leczenia ortodontycznego bez odpowiedniej retencji. Jej obecność może wpływać nie tylko na wygląd uśmiechu, ale także na jakość wymowy, efektywność żucia, a nawet ogólną równowagę zgryzową. Dlatego tak istotne jest podejście indywidualne – oceniające zarówno przyczynę, jak i konsekwencje obecności diastemy w konkretnym przypadku.
Nowoczesne rozwiązania
Nowoczesna stomatologia oferuje dziś wiele skutecznych rozwiązań. Leczenie ortodontyczne – zarówno aparatem stałym, jak i nakładkami – pozwala zamknąć szparę w sposób trwały i bezpieczny, jednocześnie poprawiając funkcję zgryzu. Alternatywą mogą być licówki, bonding czy korony protetyczne, które pozwalają osiągnąć szybki efekt estetyczny – szczególnie wtedy, gdy ortodoncja nie wchodzi w grę lub gdy pacjent oczekuje szybkiej metamorfozy uśmiechu.
Kluczowe znaczenie ma również profilaktyka. Dbałość o zdrowie dziąseł, eliminowanie niekorzystnych nawyków, regularne wizyty kontrolne oraz szybkie uzupełnianie braków zębowych to podstawowe działania, które mogą ograniczyć ryzyko powstawania szpar między zębami lub zapobiec ich pogłębianiu. U dzieci natomiast warto zwrócić uwagę na rozwój zgryzu i w razie potrzeby skonsultować się z ortodontą jeszcze przed zakończeniem wymiany uzębienia.
Nie każda szpara wymaga leczenia. Dla jednych będzie to drobna wada estetyczna, dla innych – element urody i wyróżnik osobowości. Ważne jest jednak, by każdą sytuację oceniać indywidualnie i mieć świadomość, że za prostym objawem może kryć się coś więcej. Rozmowa ze stomatologiem, ortodontą lub protetykiem pomoże nie tylko określić przyczynę, ale i zaproponować najlepszą ścieżkę postępowania – taką, która uwzględnia zdrowie, estetykę i komfort pacjenta.
Szpara między zębami nie musi być powodem do wstydu. Właściwa diagnoza i odpowiednio dobrane leczenie mogą przynieść trwały efekt – zarówno w wyglądzie uśmiechu, jak i w codziennym funkcjonowaniu. A jeśli dla kogoś diastema to po prostu element jego tożsamości – warto pamiętać, że piękno uśmiechu nie zawsze oznacza jego perfekcję, ale autentyczność, z którą czujemy się dobrze.
