TL;DR – szary ząb
- Szary ząb najczęściej oznacza problem z miazgą lub przebyty uraz.
- W ponad 70% przypadków zmiana koloru wynika z martwicy zęba lub leczenia kanałowego.
- Artykuł dla osób, które zauważyły zmianę koloru zęba i chcą uniknąć poważniejszych problemów zdrowotnych.
- Po wdrożeniu wiedzy możesz odzyskać estetyczny uśmiech i uniknąć kosztownego leczenia w przyszłości.
- Aktualizacja: 14.04.2026
Wstęp
Szary ząb to problem, który na pierwszy rzut oka wydaje się wyłącznie estetyczny. Jednak w rzeczywistości bardzo często jest to sygnał poważniejszych zmian zachodzących wewnątrz zęba. Jeśli zauważyłeś, że jeden z Twoich zębów zmienia kolor na szary, nie ignoruj tego objawu – może to oznaczać martwicę miazgi, przebyty uraz lub powikłania po leczeniu.
Co ważne, szybka reakcja pozwala nie tylko przywrócić naturalny wygląd zęba, ale także zapobiec dalszym problemom zdrowotnym, takim jak stan zapalny czy konieczność ekstrakcji.
Z tego artykułu dowiesz się:
- dlaczego pojawia się szary ząb i co to oznacza dla zdrowia jamy ustnej,
- czy każdy szary ząb jest martwy,
- jakie metody leczenia są najskuteczniejsze,
- ile kosztuje przywrócenie naturalnego koloru zęba,
- kiedy należy działać natychmiast.
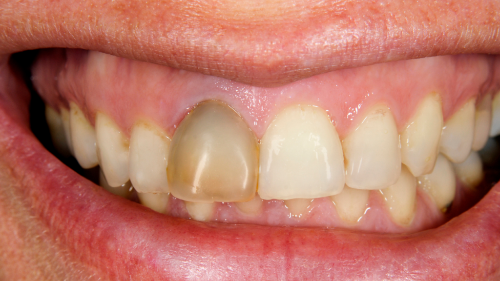
Szary ząb – co oznacza zmiana koloru zęba?
Naturalny kolor zębów nie jest idealnie biały – w rzeczywistości mieści się w odcieniach od lekko żółtawego po jasnoszary. Problem pojawia się wtedy, gdy jeden ząb wyraźnie odróżnia się od pozostałych i przybiera ciemniejszy, szary lub sinawy odcień.
Taka zmiana zwykle nie jest powierzchowna. Oznacza to, że problem znajduje się wewnątrz zęba, a nie na jego powierzchni.
Najczęściej szary ząb wskazuje na:
- zaburzenia ukrwienia miazgi,
- uszkodzenie nerwu zęba,
- obecność produktów rozpadu tkanek wewnętrznych.
W przeciwieństwie do przebarwień po kawie czy herbacie, których można pozbyć się higienizacją, szary odcień wymaga diagnostyki i leczenia stomatologicznego.

Najczęstsze przyczyny – dlaczego ząb robi się szary?
Zmiana koloru zęba nie dzieje się bez powodu. W większości przypadków szary ząb to efekt procesów zachodzących głęboko w jego strukturze.
Martwica miazgi – najczęstsza przyczyna
Najczęstszym powodem jest obumarcie miazgi, czyli tkanki znajdującej się wewnątrz zęba. Może do tego dojść w wyniku:
- nieleczonej próchnicy,
- stanu zapalnego,
- urazu.
Martwa miazga przestaje być ukrwiona, a produkty jej rozpadu powodują zmianę koloru zęba na szary lub brunatny.
„Zdrowie jamy ustnej jest integralną częścią zdrowia całego organizmu.” – WHO
(Światowa Organizacja Zdrowia podkreśla, że problemy z zębami często mają szersze konsekwencje zdrowotne.)
Uraz mechaniczny
Uderzenie w ząb – nawet sprzed wielu lat – może prowadzić do jego stopniowego obumierania. Co ważne, zmiana koloru nie musi pojawić się od razu. Czasami proces ten trwa miesiące, a nawet lata.
Typowe sytuacje:
- upadek w dzieciństwie,
- uderzenie podczas sportu,
- wypadek komunikacyjny.
Leczenie kanałowe
Szary ząb często pojawia się po leczeniu kanałowym. Jest to zjawisko stosunkowo częste i wynika z:
- zmiany struktury zęba,
- obecności materiałów używanych podczas leczenia,
- braku żywej miazgi.
Nie oznacza to błędu lekarza – to naturalna konsekwencja procedury.
Czytaj więcej: https://lublinstomatolog.pl/blog/leczenie-kanalowe/kanalowe-leczenie-zebow-wszystko-co-warto-wiedziec-przed-wizyta/
Przebarwienia wewnętrzne
W przeciwieństwie do osadów na powierzchni, przebarwienia wewnętrzne powstają w strukturze zęba i są trudniejsze do usunięcia. Mogą być efektem:
- leków (np. tetracyklin w dzieciństwie),
- nadmiaru fluoru,
- zmian metabolicznych.
Zobacz co mówią farmaceuci o fluorozie: https://gemini.pl/poradnik/artykul/fluoroza-czym-grozi-nadmiar-fluoru/?srsltid=AfmBOopmhsqEydVWTm173F__h5MWblZqv04EWBqxk1LbMA1TKZcx7K2g
Czy szary ząb to zawsze martwy ząb?
To jedno z najczęstszych pytań pacjentów. Odpowiedź brzmi: nie zawsze, ale bardzo często.
Szary ząb może być:
- martwy – gdy miazga obumarła,
- żywy, ale uszkodzony – np. po urazie,
- przebarwiony bez utraty żywotności (rzadziej).
Dlatego kluczowa jest diagnostyka, a nie zgadywanie.

Objawy, które mogą towarzyszyć:
- brak reakcji na zimno i ciepło,
- ból przy nagryzaniu,
- uczucie „ciężkości” zęba,
- obrzęk dziąsła.
Jak wygląda diagnostyka szarego zęba?
Diagnostyka to najważniejszy etap, który decyduje o dalszym leczeniu. Dobry stomatolog nie zgaduje – opiera się na konkretnych badaniach.
Podstawowe metody to:
- RTG (zdjęcie rentgenowskie) – pozwala ocenić stan korzenia i tkanek wokół zęba,
- testy żywotności – sprawdzają reakcję miazgi na bodźce,
- badanie kliniczne – ocena koloru, struktury i objawów.
Dzięki temu można określić:
- czy ząb jest martwy,
- czy wymaga leczenia kanałowego,
- czy możliwe jest wybielanie.
Czytaj więcej: https://lublinstomatolog.pl/blog/ortodoncja/przeswietlenie-zebow-rtg/
Leczenie szarego zęba – dostępne metody
Wybór metody leczenia zależy od przyczyny problemu. Nie istnieje jedno rozwiązanie dla wszystkich przypadków.
„Dentistry is not expensive, neglect is.” – Dr. Geoffrey Slack
(„Stomatologia nie jest droga – zaniedbanie jest.”)
Poniżej znajdziesz porównanie najczęściej stosowanych metod:
| Metoda | Kiedy stosować | Efekt estetyczny | Trwałość | Koszt |
|---|---|---|---|---|
| Wybielanie wewnętrzne | Martwy ząb po leczeniu kanałowym | Wysoki | Średnia | $$ |
| Licówki | Ząb żywy lub martwy (estetyka) | Bardzo wysoki | Wysoka | $$$ |
| Korona protetyczna | Silnie zniszczony ząb | Bardzo wysoki | Bardzo wysoka | $$$$ |
| Leczenie kanałowe | Ząb z martwicą | Brak zmiany koloru (potrzebne wybielanie) | Wysoka | $$ |
Wybielanie martwego zęba – czy działa?
Tak, ale pod warunkiem, że zostanie wykonane prawidłowo.
Najczęściej stosuje się metodę tzw. „walking bleach”, czyli wybielania od wewnątrz. Polega ona na:
- umieszczeniu środka wybielającego wewnątrz zęba,
- zamknięciu go na kilka dni,
- powtarzaniu procesu do uzyskania efektu.

Efekty mogą być bardzo dobre, jednak:
- nie zawsze kolor wraca do idealnego odcienia,
- czasami konieczne są dodatkowe zabiegi (np. licówki).
Ile kosztuje leczenie szarego zęba?
Koszt zależy od metody i stopnia zaawansowania problemu.
Orientacyjne ceny:
- wybielanie wewnętrzne: 300–800 zł za ząb,
- leczenie kanałowe: 1000-2000 zł,
- licówki: 1100-2100 zł za ząb,
- korony: 2000–4000 zł.
Na cenę wpływa:
- lokalizacja gabinetu,
- doświadczenie lekarza,
- użyte materiały.
Czy szary ząb można wyleczyć domowymi sposobami?
W internecie znajdziesz wiele „szybkich rozwiązań” – od sody oczyszczonej po węgiel aktywny. Problem w tym, że żadne z nich nie działa w przypadku, gdy szary ząb ma przyczynę wewnętrzną.
Dlaczego?
- domowe metody działają tylko na powierzchni szkliwa,
- szary ząb to problem struktury wewnętrznej,
- możesz pogorszyć stan szkliwa i zwiększyć nadwrażliwość.
Co więcej, stosowanie agresywnych metod może doprowadzić do:
- mikrouszkodzeń szkliwa,
- podrażnienia dziąseł,
- przyspieszenia degradacji zęba.
Wniosek jest prosty: jeśli masz szary ząb – domowe metody to strata czasu, a często także ryzyko.
Jak zapobiegać przebarwieniom zębów?
Nie każdemu przypadkowi da się zapobiec (np. urazowi), ale wiele czynników masz pod kontrolą.
Najważniejsze działania profilaktyczne:
- regularne wizyty u dentysty (co 6 miesięcy),
- szybkie leczenie próchnicy,
- stosowanie ochraniaczy przy sportach kontaktowych,
- unikanie odkładania leczenia „na później”.
W praktyce oznacza to jedno: im szybciej reagujesz, tym mniejsze ryzyko poważnych zmian.
Czytaj więcej: https://lublinstomatolog.pl/blog/leczenie-kanalowe/martwy-zab-czy-trzeba-go-leczyc-skoro-nie-boli/
Kiedy zgłosić się do dentysty?
Nie każdy przebarwiony ząb wymaga natychmiastowej interwencji, ale są sytuacje, których nie wolno ignorować.
Zgłoś się do specjalisty, jeśli:
- ząb nagle zmienił kolor na szary,
- odczuwasz ból lub dyskomfort,
- pojawił się obrzęk dziąsła,
- ząb nie reaguje na zimno lub ciepło.

Ignorowanie problemu może prowadzić do:
- stanu zapalnego,
- ropnia,
- utraty zęba.
HOW-TO: Co zrobić, gdy zauważysz szary ząb?
- Obserwuj zmianę
Zwróć uwagę, czy zmiana koloru postępuje i czy pojawiają się dodatkowe objawy.
- Nie stosuj domowych metod
Nie próbuj wybielać zęba samodzielnie – to nie rozwiąże problemu.
- Umów wizytę u dentysty
Najlepiej w ciągu kilku dni od zauważenia zmiany.
- Wykonaj diagnostykę
RTG i testy żywotności pozwolą ustalić przyczynę.
- Wybierz odpowiednie leczenie
Na podstawie diagnozy – wybielanie, leczenie kanałowe lub odbudowa estetyczna.
FAQ – najczęstsze pytania o szary ząb
Nie zawsze, ale bardzo często. W większości przypadków szary kolor wynika z obumarcia miazgi, czyli tkanki wewnątrz zęba. Jednak zdarzają się sytuacje, w których ząb jest żywy, ale uszkodzony – na przykład po urazie. Dlatego nie można postawić diagnozy wyłącznie na podstawie koloru. Konieczne są testy żywotności i zdjęcie RTG. Dopiero wtedy można określić rzeczywisty stan zęba i dobrać leczenie.
Nie musi boleć. Właśnie to jest najbardziej zdradliwe. Martwy ząb często nie daje żadnych objawów bólowych, ponieważ nerw przestaje funkcjonować. Jednak brak bólu nie oznacza, że problem nie istnieje. W środku może rozwijać się stan zapalny lub infekcja. Dlatego zmiana koloru powinna być traktowana jako sygnał ostrzegawczy, nawet bez bólu.
Tak, w wielu przypadkach jest to możliwe. Stosuje się tzw. wybielanie wewnętrzne, które polega na działaniu od środka zęba. Efekty mogą być bardzo dobre, ale zależą od stopnia przebarwienia i stanu zęba. Czasami konieczne jest kilka sesji, aby osiągnąć zadowalający rezultat. W niektórych przypadkach wybielanie nie wystarcza i potrzebne są licówki lub korony.
To zależy od przyczyny. Diagnostyka może zająć jedną wizytę, ale leczenie może trwać od kilku dni do kilku tygodni. Wybielanie wewnętrzne wymaga kilku etapów, natomiast leczenie kanałowe może być zakończone nawet podczas jednej lub dwóch wizyt. Jeśli konieczna jest odbudowa estetyczna, proces może się wydłużyć. Kluczowe jest indywidualne podejście.
Nie. Jeśli ząb zmienił kolor na skutek procesów wewnętrznych, nie cofnie się to samoistnie. Brak reakcji oznacza zwykle pogłębianie się problemu. W najlepszym przypadku kolor pozostanie taki sam, w najgorszym – dojdzie do powikłań. Dlatego zawsze warto skonsultować się z dentystą.
Nie zawsze, ale jest to częste zjawisko. Nowoczesne metody leczenia minimalizują ryzyko przebarwień, jednak nie eliminują go całkowicie. Wiele zależy od użytych materiałów i techniki leczenia. Jeśli dojdzie do zmiany koloru, można zastosować wybielanie lub odbudowę estetyczną. Warto też wybrać doświadczonego specjalistę.
Tak, szczególnie po urazach. U dzieci bardzo często dochodzi do uderzeń w zęby podczas zabawy. Nawet jeśli ząb nie wypada, może dojść do jego uszkodzenia i stopniowego obumierania. Zmiana koloru może pojawić się po czasie. W takiej sytuacji również konieczna jest konsultacja stomatologiczna.
Może być. Sam kolor nie jest problemem, ale jego przyczyna już tak. Martwy ząb może stać się ogniskiem infekcji, która rozprzestrzenia się na inne tkanki. Nieleczony problem może prowadzić do poważnych powikłań. Dlatego nie należy go bagatelizować.
Tak, ale tylko w określonych przypadkach. Jeśli ząb jest odpowiednio przygotowany i stabilny, licówka może być skutecznym rozwiązaniem estetycznym. W przypadku poważniejszych uszkodzeń lepszym wyborem może być korona. Decyzja zależy od stanu zęba.
Tak, ale to ostateczność. Ekstrakcja jest rozważana tylko wtedy, gdy ząb nie nadaje się do leczenia. W większości przypadków możliwe jest jego uratowanie i odbudowa. Dlatego warto działać szybko, zanim problem się pogłębi.
Co jeszcze warto wiedzieć?
Jeśli temat szarego zęba Cię zainteresował, warto pójść krok dalej i zrozumieć szerszy kontekst:
- estetyka uśmiechu wpływa na pierwsze wrażenie i pewność siebie,
- nowoczesna stomatologia pozwala dziś osiągnąć bardzo naturalne efekty,
- szybka reakcja oznacza niższe koszty i mniej inwazyjne leczenie,
- zdrowie jamy ustnej ma wpływ na cały organizm.
W praktyce oznacza to, że szary ząb to nie tylko problem wizualny – to sygnał, który warto potraktować poważnie.
Podsumowanie
Szary ząb to objaw, którego nie należy ignorować. W większości przypadków oznacza problem wewnętrzny – najczęściej martwicę miazgi lub skutki urazu. Dobra wiadomość jest taka, że współczesna stomatologia oferuje skuteczne rozwiązania – od wybielania po zaawansowaną odbudowę estetyczną.
Najważniejsze jest jedno: działaj szybko.
Im wcześniej zgłosisz się do dentysty, tym większa szansa na prostsze, tańsze i mniej inwazyjne leczenie.
